|
발치즉시 식립 및 즉시보철 전체 임플란트 증례 2025-02-27 hit.2,155 |
|
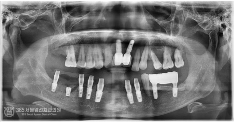
안녕하세요. 도화역치과 365서울앞선치과입니다. 오늘 소개해 드릴 치료 증례는 지인분의 소개로 찾아오셨던 환자분이십니다. 전체적으로 치아가 좋지 않으나 일단 아랫턱부터 치료를 완료하고 나서 윗턱을 치료받고 싶다고 하셨습니다. 바쁘게 사회생활을 하셔야 하는 환자분이셔서 발치와 동시에 뼈이식을 진행하며 임시치아까지 즉시 만들어 드렸습니다 ㅎㅎ 촬영일시: 2024.06.20. 처음 도화역치과 365서울앞선치과에 내원하셨을 당시 엑스레이 사진입니다. 전체적으로 잇몸뼈 소실 증상이 있고 치아 상태가 매우 좋지 않습니다. 일단 위쪽은 아래쪽 치료를 마무리 한 이후에 하기로 결정하셨습니다. 촬영일시: 2024.07.06. 발치와 동시에 뼈이식을 진행하면서 임플란트 식립까지 완료한 이후 엑스레이 사진입니다. 가지런히 식립된 임플란트 보기 좋습니다 ㅎㅎ 수술시간은 대략 30분 정도 걸렸습니다.
촬영일시: 2024.07.06. 구강스캐너를 사용하여 즉시보철물 제작을 위한 본을 뜹니다. 세상이 정말 편해졌습니다 ㅎㅎ 아래턱 뼈의 밀도가 나쁘지 않았기에 충분한 고정력을 얻을 수 있었고, 환자분의 바람대로 수술 후 즉시 임시치아를 해드릴 수 있었습니다. 촬영일시 : 2024.07.06. 수술 후 임시치아를 바로 연결해드리는 경우, 단단한 음식을 매우 조심하셔야 합니다. 임플란트가 충분히 고정력을 얻었더라도 아직 뼈와 완전하게 골융합되지 않았으므로 강한 저작력이 가해질 경우 임플란트가 빠질 수 있기 때문입니다. 환자분께 이러한 주의 사항을 충분히 드리고 주기적으로 체크하며 관리해드렸습니다ㅎㅎ 대략 4개월 정도 기간이 지난 후 최종보철물로 교체하여 완성해드렸습니다. 즉시 임시치아를 해드릴 경우 몇몇 임플란트가 빠질 수 있으나, 다행히 환자분께서 조심조심해서 식사를 해주시고 관리를 열심히 해주셔서 단 한개의 임플란트도 빠지지 않고 마무리해드릴 수 있었습니다 ^^ 촬영일시 : 2024.11.02. 완성 후 구강 내 모습입니다. 아래턱 치료가 마음에 드셔서 그런지 얼른 윗턱 임플란트 치료도 받고 싶어하십니다 ㅎㅎ 촬영일시: 2024.11.02. 오늘은 뼈이식을 동반한 발치즉시 임플란트 수술 및 즉시임시치아 제작까지 해드렸던 환자분의 증례를 공유해보았습니다. 뼈의 양이나 뼈의 질에 따라서 즉시임시치아는 불가능할 수도 있으니 의료진과 충분한 상의하에 만족스러운 치료를 받으시면 좋겠습니다 ㅎㅎ 이상, 도화역치과 365서울앞선치과였습니다. 더 좋은 증례로 찾아뵙겠습니다! ※ 365서울앞선치과의원의 모든 포스팅은 각 진료과 의료진이 직접 작성합니다. 365서울앞선치과의원 블로그의 임상 케이스 게시물은 환자분께 의학적으로 정확하고 상세한 정보를 드리기 위해 각 진료과 의료진이 직접 작성하며, 모든 증례 사진은 본원 의료진이 직접 시술한 증례를 촬영한 것으로, 의료법 제23조, 제56조에 의거하며 환자분의 동의를 얻어 포스팅에 사용하였습니다. 또한 해당 케이스는 본 환자분의 치료 결과이며, 환자 상태에 따라 치료의 결과는 달라질 수 있습니다. |
