|
앞니쪽 뼈가 전혀 없으신 환자분의 전체 임플란트 치료 증례 2025-02-27 hit.2,040 |
|
집 근처 치과에 갔더니 뼈가 너무 없다고 대학병원에 가서 치료받으라고 들었어요. 임플란트 치료 가능할까요 ? 안녕하세요. 미추홀구치과 365서울앞선치과의원입니다. 상기 환자분의 증례는 제게는 매우 특별한 치료증례입니다. 앞니쪽 뼈가 고작 3mm 밖에 없어서 도저히 임플란트 치료는 불가능하다고 진단 받으셨고, 무려 치과를 10군데나 돌아다니시다가 저를 만났던 환자분이십니다. 다른 치과에서는 틀니밖에 할 수 없다고 진단받았어요.
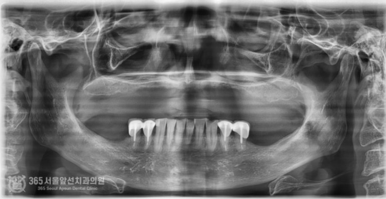
촬영일시: 2024.06.07. 처음 오셨을때 엑스레이 사진입니다. 윗턱과 아래턱 모두 뼈가 매우 적은편입니다. 특히 윗턱의 앞니쪽은 뼈가 고작 3mm밖에 존재하지 않았습니다. 매우 난증례에 해당한다고 볼 수 있겠습니다. 앞니 부위 뼈가 매우 부족하고(3mm) 어금니쪽도 전체적으로 뼈가 매우 적었습니다. 앞니와 어금니의 부족한 뼈를 만들어내면서 임플란트 식립을 계획했습니다. 통상적으로 윗턱에서 뼈가 부족할때 사용하는 수술방법으로 상악동거상술이라는 잘 알려진 술식이있는데요. 상기 환자분의 경우, 앞니쪽까지도 뼈가 부족했기에 코로 접근해서 부족한 뼈를 만들어 내는 비강거상술까지 동반하여 임플란트 수술을 진행했습니다. 촬영일시: 2024.08.10. 좌우측 상악동 거상과 비강거상을 동반하여 윗턱에 임플란트 8개를 식립했습니다. 지금까지 만나뵈었던 많은 환자분들 중 뼈의 상태가 매우 안좋은 편에 속하셨으며 매우 난해한 증례였습니다. 그렇지만 수술은 성공적으로 잘 마무리되었습니다. 위아래 전체 임플란트를 식립한 후 엑스레이 사진입니다. 임플란트가 가지런히 잘 배열되어있습니다 ㅎㅎ 지르코니아라는 재료를 사용하여 치아색상으로 단단하게 보철물도 제작했습니다. 촬영일시: 2024.12.29. 최종적으로 마무리된 엑스레이 사진입니다. 촬영일시: 2024.12.29. -노란색: 원래 환자분의 윗턱뼈 -주황색: 상악동거상술을 통해 만들어진 뼈 -보라색: 비강거상술을 통해 만들어진 뼈 최종적으로 치료가 완료된 후 구강내 사진입니다.
촬영일시: 2024.12.29. 워낙에 뼈가 없으셨던 환자분이셔서 치아가 다소 긴 형태로 제작될 수 밖에 없다는 것은 한계점이긴합니다만, 환자분께서는 틀니가 아니라 임플란트를 이용하여 치료를 받으신 것에 매우 만족하셨던 증례입니다. "틀니를 벗으니 세상 행복하네요. 고맙습니다." 환자분께서 치료를 마치시고 제게 한 첫마디입니다. 이런 기분에 치과의사를 하게되는 것 같습니다. 오늘은 제게 매우 특별한 증례를 소개해드렸습니다 ㅎㅎ 대부분의 환자분들은 상기 환자분의 증례에 비하면 난이도가 매우 낮으니 너무 걱정하지 않으셔도 괜찮을 것 같습니다. 앞으로도 좋은 증례로 찾아뵙겠습니다. 미추홀구치과 365서울앞선치과의원이었습니다. 감사합니다. ※ 365서울앞선치과의원의 모든 포스팅은 각 진료과 의료진이 직접 작성합니다. 365서울앞선치과의원 블로그의 임상 케이스 게시물은 환자분께 의학적으로 정확하고 상세한 정보를 드리기 위해 각 진료과 의료진이 직접 작성하며, 모든 증례 사진은 본원 의료진이 직접 시술한 증례를 촬영한 것으로, 의료법 제23조, 제56조에 의거하며 환자분의 동의를 얻어 포스팅에 사용하였습니다. 또한 해당 케이스는 본 환자분의 치료 결과이며, 환자 상태에 따라 치료의 결과는 달라질 수 있습니다. |
