|
상악동 재수술 전체 임플란트 치료 환자분 2025-02-27 hit.1,818 |
|
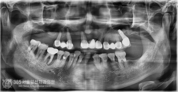
안녕하세요. 간석동치과 365서울앞선치과의원입니다. 과거에 타병원에서 임플란트 치료를 받으셨으나 뼈이식에 실패하여 고생하시다가 결국 치료를 포기하셨던 환자분의 치료 증례를 살펴보겠습니다. 치아들의 상태가 전반적으로 좋지 않아보입니다 ㅠㅠ 이번 기회에 전체적으로 치료 받길 원하셔서 성심성의껏 치료해드렸던 기억이 나네요 ㅎㅎ 촬영일시: 2024.06.14. 처음 내원 당시 엑스레이 사진입니다. 전체적으로 잇몸병이 산불번지듯 번지고 있어서 식사가 매우 불편하셨습니다. 특히 사진상 우측(실제 구강내에선 좌측에 해당하는 부위) 부위에 과거에 상악동 골이식술을 시행한 흔적이 관찰됩니다. 추후 설명드리겠으나, 과거에 타원에서 시행한 상악동 골이식술이 실패하여 이식재는 해당자리에 위치하고 있으나 뼈가 되어 있지 않았습니다.
촬영일시: 2024.06.14. 앞서 설명드렸던 과거에 상악동 거상술이 실패했던 자리의 뼈 상태입니다. 무언가 떡(?) 같은 질감의 뼈도 아니고 살도 아닌 형태로 변형되어있었습니다. 전부 제거하고 상악동 점막을 수리하여 다시 상악동 골이식을 정확하게 시행하였습니다. 여러가지 과정의 수술을 단 한 번에 끝냈기에 환자분께서도 힘드셨지만 만족하셨습니다ㅎㅎ 과거에 시행된 상악동 골이식재를 제거하며 다시 상악동 점막을 들어올리고 수리하는 과정입니다.
촬영일시: 2024.10.14. 충분한 기간이 지나서 잇몸을 열어보았습니다. 제대로 생성된 상악동 부위의 뼈를 볼 수 있습니다. 이 사진을 보여드리니 환자분께서 매우 놀라하시며 기뻐하셨던 순간이 생생합니다 ㅎㅎ 촬영일시 : 2025.02.10. 치료가 종결되고 난 후의 엑스레이 사진입니다. 기존에 타병원에서 실패했던 상악동 골이식 자리에 대한 처치와 임플란트 식립까지 완벽하게 이루어진 것을 볼 수 있습니다. 오늘도 기억에 남는 환자분의 증례를 소개해드렸습니다. 앞으로 좋은 증례로 찾아뵙겠습니다. 지금까지 365일 열린 가까운 서울대학교 치과병원을 지향하는 간석동치과 365서울앞선치과였습니다. 감사합니다. [ 치료기간 : 2024년 6월 14일 ~ 2025년 2월 10일 ] ※ 365서울앞선치과의원의 모든 포스팅은 각 진료과 의료진이 직접 작성합니다. 365서울앞선치과의원 블로그의 임상 케이스 게시물은 환자분께 의학적으로 정확하고 상세한 정보를 드리기 위해 각 진료과 의료진이 직접 작성하며, 모든 증례 사진은 본원 의료진이 직접 시술한 증례를 촬영한 것으로, 의료법 제23조, 제56조에 의거하며 환자분의 동의를 얻어 포스팅에 사용하였습니다. 또한 해당 케이스는 본 환자분의 치료 결과이며, 환자 상태에 따라 치료의 결과는 달라질 수 있습니다. |
