|
덧니의 투명 교정 치료 증례 2026-02-27 hit.257 |
|
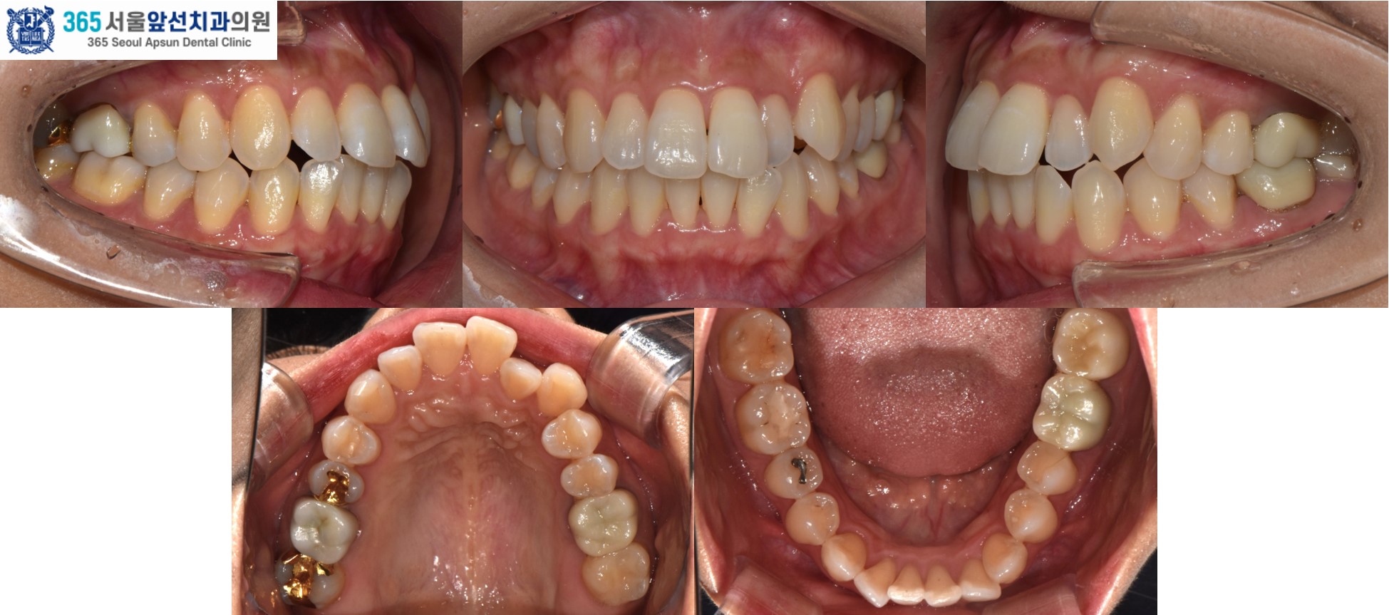
촬영일시 : 2024.11.26. / 2025.12.18. 앞니의 돌출과 반대로 물리는 앞니, 송곳니 덧니를 고민으로 내원하신 30대 여성 환자 분의 증례를 소개드리겠습니다. 치료 전, 윗니와 아랫니 사이의 거리(수평 피개)가 5.00mm, 상,하악 치열 각각 2.48mm, 2.69mm 의 필요 공간이 있는 경미한 총생(Crowding), #22 치아의 반대교합과 #23 치아의 협측 이소맹출이 관찰됩니다.
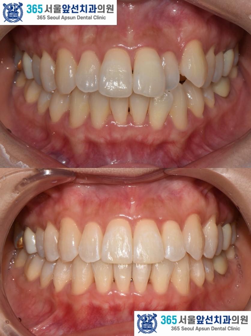
촬영일시 : 2024.11.26. 송곳니의 교합은 2급 부정교합을 보입니다. 앞니와 송곳니의 부정교합 개선을 위주로 투명 교정 치료를 계획하였습니다. 앞니의 사이즈를 감소시키면서 배열을 진행하여 수평피개를 감소하였습니다.
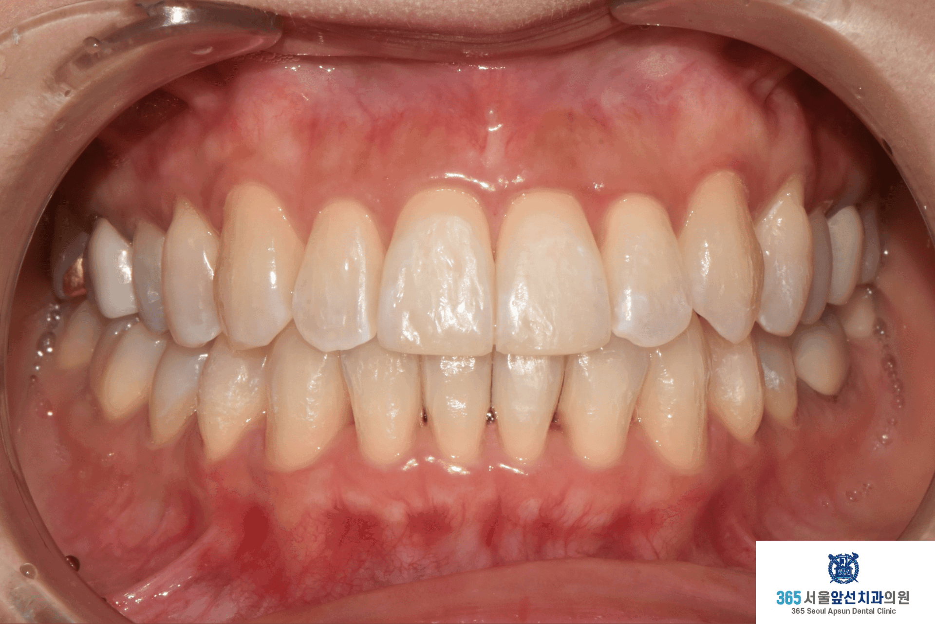
촬영일시 : 2025.12.16. 3월 12일 치료를 개시하여 12월 16일에 교정치료를 종료하였으며 총 9개월의 치료기간이 소요되었습니다. 치열이 가지런하게 배열되었고 목표하였던 견치의 1급 관계 회복, 앞니의 수평 피개 감소, 정중선 불일치 개선이 완료되었습니다. 환자분께서 치료를 열심히 따라와주셔서 치료가 깔끔하게 잘 마무리되었습니다. ![]() 촬영일시 : 2024.11.26. / 2025.12.16. 촬영일시 : 2024.11.26. / 2025.12.16. 투명교정이 기존의 부착식 교정장치보다 효과가 떨어지지는 않는지 여쭤보시는 환자분들이 종종 계십니다. 투명교정으로도 이상적인 치료 결과를 낼 수 있다는 예로 본 증례를 소개드렸습니다. 투명교정치료는 하루 20시간 이상의 착용이 필요하여 환자와 의료진이 함께 만들어가는 치료입니다. 부착식 장치에 비하여 위생 관리가 용이하며 협점막이 편안하고 심미적입니다. 감사합니다!
[ 치료기간: 2024년 11월26일 ~2025년 12월 18일 ] ※ 365서울앞선치과의원의 모든 컬럼은 각 진료과 의료진이 직접 작성합니다. 365서울앞선치과의원 임상 케이스 게시물은 환자분께 의학적으로 정확하고 상세한 정보를 드리기 위해 각 진료과 의료진이 직접 작성하며, 모든 증례 사진은 본원 의료진이 직접 시술한 증례를 촬영한 것으로, 의료법 제23조, 제56조에 의거하며 환자분의 동의를 얻어 포스팅에 사용하였습니다. 또한 해당 케이스는 본 환자분의 치료 결과이며, 환자 상태에 따라 치료의 결과는 달라질 수 있습니다. |
