|
전체 임플란트, 극단적으로 뼈가 없었던 환자분의 치료증례 (All on X) 2025-02-28 hit.2,170 |
|
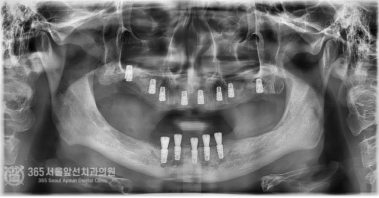
안녕하세요. 주안동치과 365서울앞선치과의원입니다. 오늘 소개할 증례의 환자분은 위아래 턱뼈가 극단적으로 없었던 환자분입니다. 근처 치과를 돌고 돌다 도저히 치료가 불가능하다고 판정 받았는데 지인분의 소개로 저희 주안동치과에 내원하게 되었던 분입니다. 환자분께서는 치료가 가능할지 걱정이 많으셨는데, 간단하게 답변드렸습니다. 뼈가 없으면 만들면 되고, 신경이 있으면 피하면 됩니다. 걱정은 저희가 할테니 환자분께서는 걱정하실 필요없겠습니다 ㅎㅎ 촬영일시 : 2024.07.03. 처음 내원하셨던 당시 파노라마 엑스레이 사진입니다. 위턱의 치아들이 전체적으로 흔들리고 당장 손가락으로 뽑아도 뽑힐 지경의 상황입니다. 또한 양쪽 상악동 부위의 잔존골이 거의 없으며, 상악동 천공 양상도 관찰됩니다. 아래턱의 경우는 더욱 심각합니다. 일단 과도한 골흡수로 어금니 부위에는 임플란트 식립 자체가 불가능할 정도의 뼈 상태입니다. 위턱의 치아들을 발치하고 뼈를 만들어 주면서 상악동 거상술을 동반하여 동시에 임플란트를 심어드렸습니다. 아래턱의 경우는 신경관이 위치하고 있기 때문에 신경관의 위치를 파악하여 정교하게 신경을 피해서 임플란트를 식립하였습니다. 위쪽, 아래쪽 모두 수술 난이도는 최상에 속한다고 보시면 되겠습니다. 촬영일시 : 2024.10.03. 수술이 완료되고 체크 과정에서 찍은 파노라마 엑스레이 사진입니다. 반듯하게 정확한 위치에 임플란트들이 위치되었습니다. 이렇게 반듯하게 식립된 임플란트를 보면 기분이 편안해집니다 ㅎㅎ 경험이 있는 의사라면 네비게이션 수술 혹은 수술용 가이드의 도움 없이 눈으로 보고 심더라도 가이드 보다 더 정확하게 수술이 가능합니다 ㅎㅎ 촬영일시 : 2024.12.02. 수술 후 체크 과정에서 잇몸의 상태입니다. 깨끗하게 낫고 있습니다ㅎㅎ 보철물의 제작은 디지털 방식을 통해 진행됩니다. 디지털 방식을 통해서 정밀한 보철물 디자인이 가능합니다.
위 사진은 All on X라는 보철물 내부에 들어가는 금속구조물입니다. 정확한 용어로는 Mesostructure라고 합니다. (다른 환자분 케이스에서 사용된 금속구조물이지만 이해를 돕기위해 참고용으로 넣었습니다) All on X 보철물의 특징상, 단단한 강도가 매우 중요하며 보철물의 적합성이 매우 중요합니다. 따라서 정교한 작업이 필요하며 다소 번거롭더라도 여러번의 작업이 필요합니다. 촬영일시 : 2025.01.02. 아래쪽 보철물은 All on X 라고 하여 메탈 바가 들어가는 복잡한 방식의 보철물이기에 정확도가 생명입니다. 따라서 번거롭더라도 석고 모형 상에서 한번 맞춰보는 작업도 필요하기에 진행하였습니다. 위턱에 식립한 임플란트가 단단하게 굳었을때 쯤 임플란트에 치유지대주라는 단추를 연결합니다. 이제 슬슬 본을 떠도 되겠습니다. 양측 어금니 부위에 뼈가 매우 부족하여 상악동 거상술을 진행하였던 부위도 뼈가 생성되는게 관찰됩니다. 아래턱 보철물이 입안에 위치된 상태입니다. 아래만 맞춰봤는데 환자분은 벌써부터 기대감이 대단하십니다. 이 단계쯤되면 저도 두근두근합니다ㅎㅎ 위아래 보철물이 모두 장착된 상태에서의 파노라마 엑스레이 사진입니다. 제가 치료해드렸지만 제가 봐도 만족스럽습니다 ㅎㅎ 촬영일시 : 2025.01.15. 촬영일시 : 2025.01.15. 위아래 보철물이 모두 들어간 상태의 구강내 사진입니다. 환자분은 치료가 끝나고 눈물을 글썽글썽하셨습니다. 전체 임플란트 치료는 그만큼 요구되는 수준이 높고 의사도 힘들고 환자분들께서도 힘들지만 치료가 마무리 되고 나면 기억에 많이 남는것같습니다. 오늘도 매우 뼈가 좋지 않았던 환자분의 고난이도 치료 증례를 소개해드렸습니다. 앞으로도 좋은 치료 증례로 도움이 될 수 있게 노력하겠습니다. 지금까지 365일 열린 가까운 서울대학교 치과병원을 지향하는 주안동치과 365서울앞선치과였습니다. 감사합니다. [ 치료기간: 2024년 7월3일 ~ 2025년 1월 15일 ] ※ 365서울앞선치과의원의 모든 포스팅은 각 진료과 의료진이 직접 작성합니다. 365서울앞선치과의원 블로그의 임상 케이스 게시물은 환자분께 의학적으로 정확하고 상세한 정보를 드리기 위해 각 진료과 의료진이 직접 작성하며, 모든 증례 사진은 본원 의료진이 직접 시술한 증례를 촬영한 것으로, 의료법 제23조, 제56조에 의거하며 환자분의 동의를 얻어 포스팅에 사용하였습니다. 또한 해당 케이스는 본 환자분의 치료 결과이며, 환자 상태에 따라 치료의 결과는 달라질 수 있습니다. |
