|
앞니 반대교합 전체 교정 치료 증례 2026-03-03 hit.238 |
|
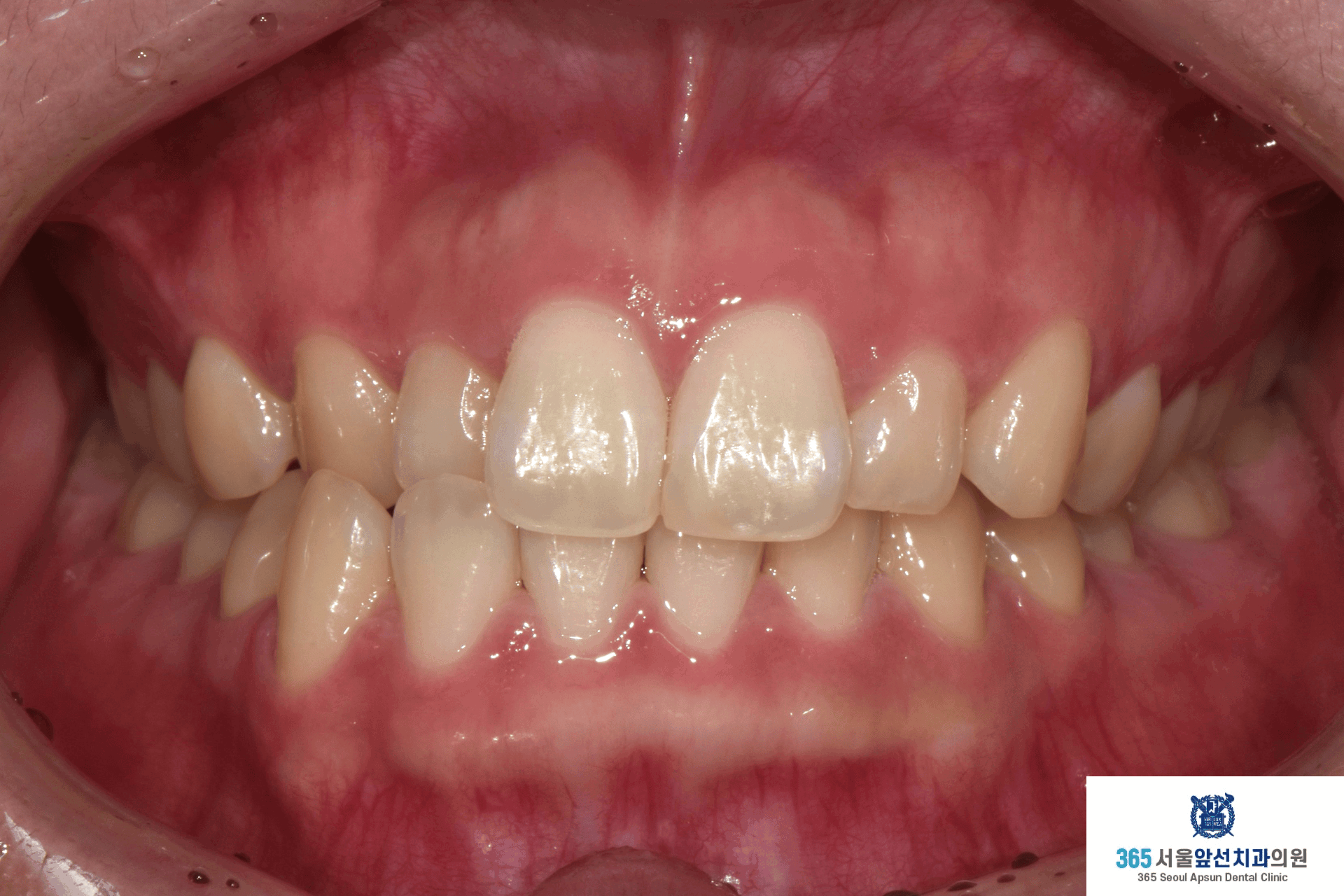
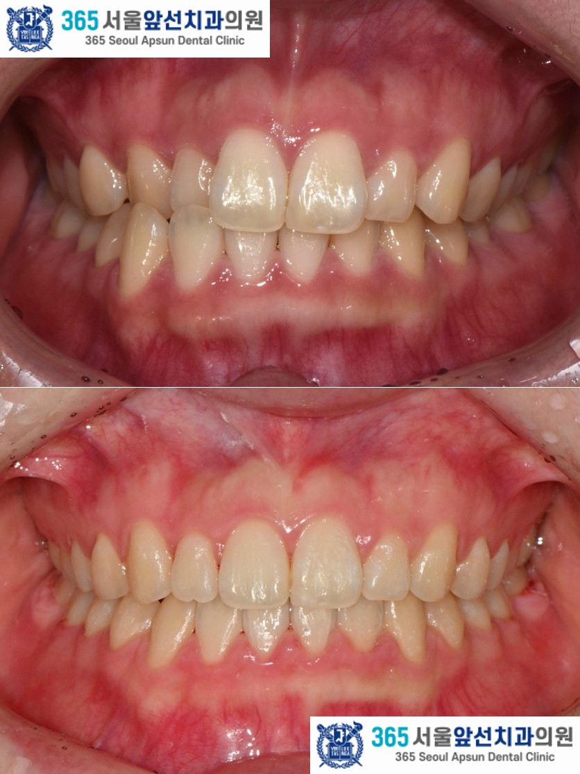
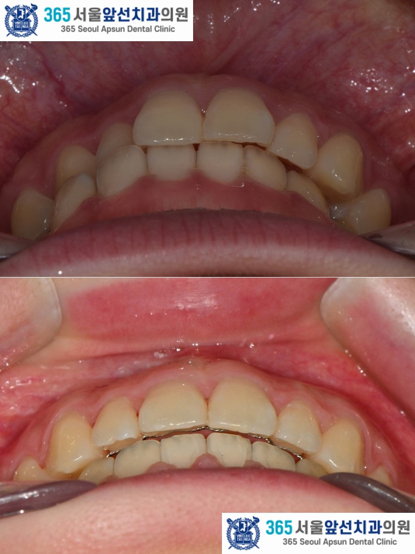
촬영일시 : 2024.10.23. / 2025.11.12. 반대로 물리는 이 때문에 입술이 비틀어져 보인다는 고민으로 내원하신, 성장이 완료된 10대 청소년 환자 분의 증례를 소개드리겠습니다.
촬영일시 : 2024.10.23. 치료 전, 우측 측절치와 견치(송곳니)의 반대교합과 정중선 불일치가 관찰됩니다. 양측 상악 측절치가 5.6mm 폭경으로 왜소치 경향을 보이며 Bolton 의 전치부 비율이 86.73으로, 이상적인 윗니와 아랫니 앞니의 비율을 고려한 폭경에 비해 5.0mm가 부족합니다. 이 경우, 왜소치의 폭경을 키워 수복한다면 이상적인 교합을 형성할 수 있습니다. 해당 환자분께서는 왜소치의 수복 없이 치료하기를 원하셔서, 보상적으로 하악 치열의 폭경 감소와 Canine key compromise를 통해 최대한 심미적이고 기능적인 교합을 만들어드렸습니다.
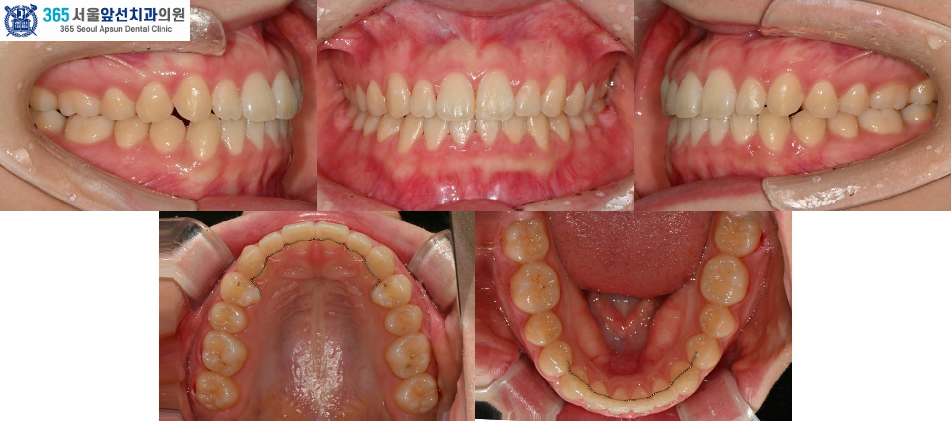
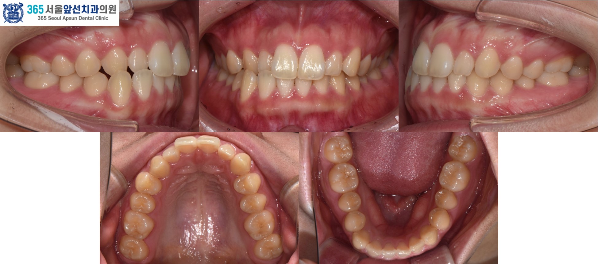
촬영일시 : 2025.11.12. 치료 후의 모습입니다. 2024년 11월 16일 치료를 개시하여 2025년 11월 12일에 교정치료를 종료하였으며 총 12개월의 치료기간이 소요되었습니다. 치열이 가지런하게 배열되었고 목표하였던 반대교합의 해소, 정중선 불일치 개선이 완료되었습니다. 왜소치 수복 없이 구치부 1급 관계와 견치 유도 및 전치 유도가 가능한 교합이 잘 만들어졌습니다. 더불어 입술의 비틀어짐도 자연스럽게 해소되셨습니다. ![]() 촬영일시 : 2024.10.23. / 2025.11.12. 앞니의 반대교합이 있으셨던 환자분의 12개월 간의 치료 증례를 소개해드렸습니다. 환자분께서 정기적인 내원에 적극 협조해주셔서 치료기간이 단축되었던 것 같습니다.^^ 반대교합, 정중선 불일치, 비뚤한 치열이 고민이신 환자분들께서는 내원하셔서 교정 진단 받아보시길 바랍니다. 감사합니다.
[ 치료기간: 2024년 10월23일 ~2025년 11월 12일 ] ※ 365서울앞선치과의원의 모든 컬럼은 각 진료과 의료진이 직접 작성합니다. 365서울앞선치과의원 임상 케이스 게시물은 환자분께 의학적으로 정확하고 상세한 정보를 드리기 위해 각 진료과 의료진이 직접 작성하며, 모든 증례 사진은 본원 의료진이 직접 시술한 증례를 촬영한 것으로, 의료법 제23조, 제56조에 의거하며 환자분의 동의를 얻어 포스팅에 사용하였습니다. 또한 해당 케이스는 본 환자분의 치료 결과이며, 환자 상태에 따라 치료의 결과는 달라질 수 있습니다. |
