|
벌어진 앞니 교정치료와 교정적 공간 폐쇄 치료 2025-10-14 hit.1,489 |
|
2024.06.08
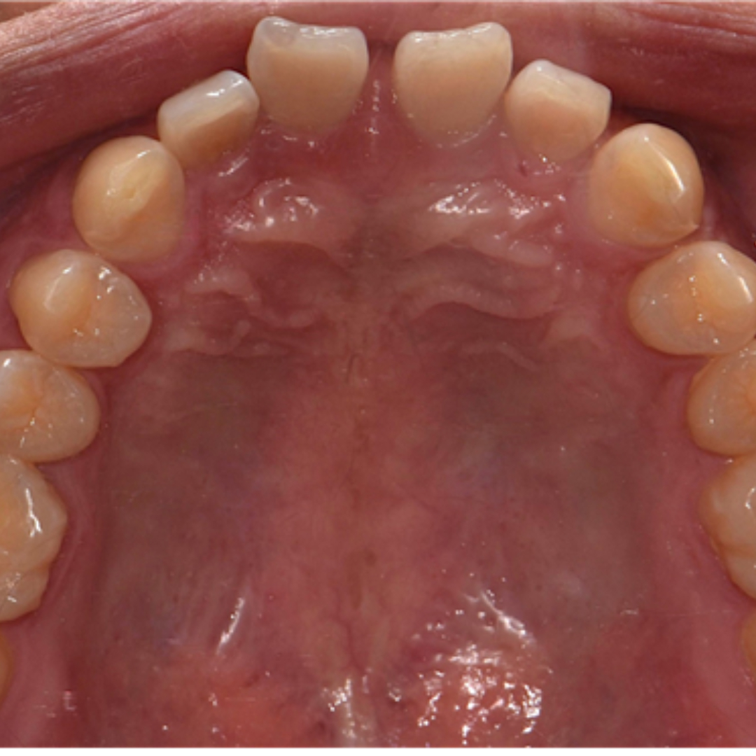
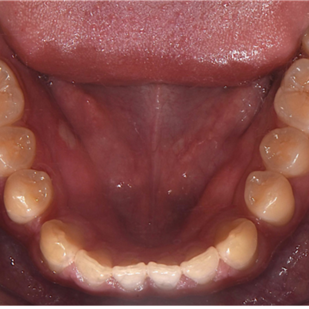
앞니 사이 벌어진 공간과 정중선 불일치를 고민으로 내원하셨던 20대 남성 환자분입니다. 윗니, 아랫니 공간이 각각 3.4mm, 2.6mm 가량 벌어져있고, 위와 아래의 중앙선 차이가 2.1mm 정도로, 상대적으로 정중이개와 정중선 불일치가 눈에 띄는 모습입니다. 해당 환자분께서는 격투기를 취미로 하시는 분이셔서 교정장치를 부착한 채로 얼굴 부위에 타격이 있을 경우 입 안이 다칠까봐 걱정이 있으셨습니다. 교정 진단 상담 후 고민 끝에 부상 방지를 위해 표면이 매끈한 투명교정 장치로 치료하시기로 결정하셨습니다.
최근에는 티 나지 않는 교정을 원하시는 심미적인 이유 뿐만 아니라, 위생 관리, 음식물 섭취, 부상 방지 등 다양한 이유로 전통적인 부착식 교정장치 대신 투명 교정을 선택하시는 환자분들이 부쩍 많아지셨습니다. 투명 교정 치료는 결과는 동일하면서 사진 촬영, 운동, 여행 등 일상 생활에 제약이 크게 없다는 점이 큰 장점입니다. 다만, 증례에 따라 부착식 교정장치가 더 빠르고 효과적인 경우도 있어 교정 치료 전 전문의와의 상담을 통해 결정하는 것이 좋습니다. ^^ 총 32주 간의 교정 치료가 종료된 모습입니다. 기존에 가장 고민이셨던 공간 벌어짐, 정중선 불일치가 예쁘게 수정되었습니다. 2025.5.18.
교정 전, 후 옆모습 x-ray의 중첩 비교 자료입니다. 공간이 폐쇄된 만큼 위, 아래 앞니에서 약간의 후방 이동이 있었고, 입술도 소량의 후방 이동이 있습니다. 전치간 각도가 크게 개선되고, 수평 피개가 감소하여, 치료 후 미소에서 보다 세련된 인상을 줄 것입니다.
치료 전, 후 미소가 눈에 띄게 개선되었습니다. 정면에서 두드러지게 보였던 정중 이개와 정중선 불일치가, 벌어진 공간이 폐쇄되고 가지런하게 배열되니 깔끔하고 정돈된 인상을 줍니다. 앞니의 벌어진 공간 폐쇄를 위해 라미네이트나 크라운 치료로 심미적이고 즉각적인 개선을 가져오는 경우도 있습니다. 하지만 위 환자분의 경우 다른 부정교합이 있기 때문에 교정 치료 없이 심미 보철을 진행했다면, 정중선 불일치가 잔존하거나, 앞니 크기가 비대칭적으로 마무리되었을 수 있습니다. 32주의 교정 치료로 자연스럽고 아름다운 미소를 회복하여 환자분도, 의료진도 만족한 결과를 얻어 성공적인 투명 교정 치료 증례로 소개드렸습니다. 세심한 진단과 맞춤형 치료계획으로 예쁜 미소를 찾아드립니다! 안전한 365서울앞선치과 교정 치료 많은 관심 부탁드립니다~!!
교정 전, 후 옆모습 x-ray의 중첩 비교 자료입니다. 공간이 폐쇄된 만큼 위, 아래 앞니에서 약간의 후방 이동이 있었고, 입술도 소량의 후방 이동이 있습니다. 전치간 각도가 크게 개선되고, 수평 피개가 감소하여, 치료 후 미소에서 보다 세련된 인상을 줄 것입니다.
치료 전, 후 미소가 눈에 띄게 개선되었습니다. 정면에서 두드러지게 보였던 정중 이개와 정중선 불일치가, 벌어진 공간이 폐쇄되고 가지런하게 배열되니 깔끔하고 정돈된 인상을 줍니다. 앞니의 벌어진 공간 폐쇄를 위해 라미네이트나 크라운 치료로 심미적이고 즉각적인 개선을 가져오는 경우도 있습니다. 하지만 위 환자분의 경우 다른 부정교합이 있기 때문에 교정 치료 없이 심미 보철을 진행했다면, 정중선 불일치가 잔존하거나, 앞니 크기가 비대칭적으로 마무리되었을 수 있습니다. 32주의 교정 치료로 자연스럽고 아름다운 미소를 회복하여 환자분도, 의료진도 만족한 결과를 얻어 성공적인 투명 교정 치료 증례로 소개드렸습니다. 세심한 진단과 맞춤형 치료계획으로 예쁜 미소를 찾아드립니다! 안전한 365서울앞선치과 교정 치료 많은 관심 부탁드립니다~!! |
