|
국소 골다공성 골수 결손 환자에서 임플란트와 틀니를 이용한 전체치료 2025-02-28 hit.2,610 |
|
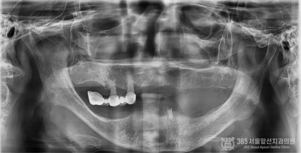
골다공증이 심해서 임플란트가 불가능하다는 이야기를 들었어요. 임플란트가 가능할까요? 상기 환자분은 골다공증으로 치료를 받고 계신 환자분이십니다. 골다공증제를 복용하고 계시거나, 골다공증 치료제 주사를 맞고 계실 경우 임플란트 치료시 고려되어야 하는 것은 널리 알려진 사실입니다. 결론부터 말씀드리자면 골다공증 치료를 받고 계시더라도 주치의와 상의해서 스케줄을 조율한다면 대부분 큰 무리 없이 임플란트 치료를 받으실 수 있습니다. 촬영일시 : 2024.07.05. 처음 내원 당시 엑스레이 사진입니다. 한눈에 보기에도 뼈가 거의 없어서 임플란트 치료가 쉽지 않으신 환자분입니다. 또한 엑스레이에서 보다시피 뼈의 밀도가 낮아서 뼈가 어둡게 보입니다. 골다공증 병력을 가진 환자분들에서 종종 나타나는 국소골다공성골수결손(Focal osteoporotic bone marrow defect) 양상을 보이셨던 환자분입니다. 촬영일시 : 2024.07.05. 임플란트 식립시 뼈의 모습입니다. 텅 빈 공간에 임플란트가 덩그러니 있는 듯한 모습이지만, 해당 공간은 임플란트를 식립하기 위해 뼈에 구멍을 낸것이 아니라 골수 결손으로 인해 원래부터 빈 공간이었던 부분입니다. 그 만큼 뼈의 상태가 매우 좋지 않았다는 것을 알 수 있습니다. 촬영일시 : 2024.07.05. 아래 앞니 부위도 뼈가 매우 얇아서 임플란트 식립시 뼈를 쪼개서 식립(ridge splitting)해야 할 정도로 매우 상태가 좋지 않았습니다. 촬영일시 : 2024.07.11. 수술이 잘 마무리된 후 엑스레이 사진 및 구강 내 사진입니다. 촬영일시 : 2024.11.11. 4개월 후 최종 보철물을 제작했습니다. 위턱은 전체임플란트로 치료를 마무리 지었고, 아래턱은 임플란트 브릿지와 틀니를 조합하여 잘 마무리해 드렸습니다~ ^^ 촬영일시 : 2024.07.05. / 2024.11.11. 구강 내 전후 비교사진입니다. 완전히 달라진 전후 모습을 비교할 수 있겠습니다. 오늘은 골다공증으로 인해 국소 골다공성 골수결손(focal osteoporotic bone marrow defect)이 발생된 환자분의 전체 임플란트 치료 증례를 소개해드렸습니다. 수 없이 많은 전체 임플란트 환자분들을 치료 하다보면 전신질환으로 인해 치료가 쉽지 않은 경우가 종종 있습니다. 하지만 질환을 잘 이해하고 있는 치과의사와 함께 한다면 치료를 잘 마무리 하실 수 있으니 걱정안하셔도 되겠습니다. 365서울앞선치과 대표원장 강동우였습니다. 감사합니다 ! [ 치료기간: 2024년 7월5일 ~2024년 11월 11일 ] ※ 365서울앞선치과의원의 모든 컬럼은 각 진료과 의료진이 직접 작성합니다. 365서울앞선치과의원 임상 케이스 게시물은 환자분께 의학적으로 정확하고 상세한 정보를 드리기 위해 각 진료과 의료진이 직접 작성하며, 모든 증례 사진은 본원 의료진이 직접 시술한 증례를 촬영한 것으로, 의료법 제23조, 제56조에 의거하며 환자분의 동의를 얻어 포스팅에 사용하였습니다. 또한 해당 케이스는 본 환자분의 치료 결과이며, 환자 상태에 따라 치료의 결과는 달라질 수 있습니다. |
