|
신경관과 완전히 붙어있는 매복사랑니 발치 증례 2025-02-28 hit.2,366 |
|
오른쪽 아래턱에 매복 사랑니가 있는데, 집근처 치과에서 대학병원 가서 뽑아야한다고 했어요. 어려운 사랑니도 발치 가능하다고 소문 듣고 찾아왔어요. 안녕하세요. 주안역사랑니치과 365서울앞선치과입니다. 최근 저희 치과에 매복사랑니 발치 문의가 많습니다ㅎㅎ 그 중에서도 난이도가 높았던 꽤나 인상깊었던 치료 증례입니다ㅎㅎ
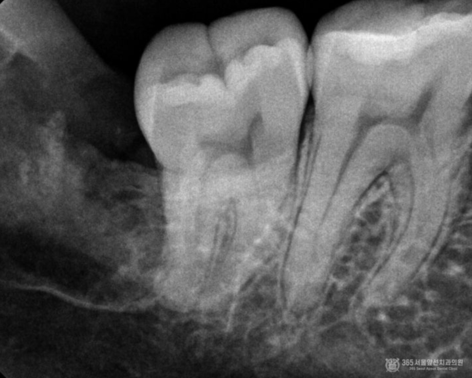
촬영일시 : 2024.09.06. 사진상에서 좌측(구강내 우측) 아래쪽에 아주 깊게 매복된 사랑니가 관찰됩니다. 노란색으로 표시된 신경관과 수평으로 완전히 접하고 있는 모습을 볼 수 있으며, 발치 난이도가 매우 높아 보입니다. 신경손상이 없이 안전하게 발치해야겠습니다.
촬영일시 : 2024.09.06. 대략 15분 정도 지나서 발치를 완료한 후 남은 치아조각이 있는지 확인차 촬영한 작은 엑스레이 사진입니다. 남은 치아 조각 없이 깨끗하고 안전하게 발치된 모습을 볼 수 있습니다 ㅎㅎ 촬영일시 : 2024.09.06. 전체 엑스레이 사진입니다. 깔끔하게 발치된 모습을 볼 수 있습니다 ㅎㅎ 전체 엑스레이 사진입니다. 깔끔하게 발치된 모습을 볼 수 있습니다 ㅎㅎ 난이도 높은 매복 사랑니 발치 또한 자신있게 치료하는 주안역사랑니치과 365서울앞선치과였습니다 ㅎㅎ [ 치료기간: 2024년 9월 6일 ] ※ 365서울앞선치과의원의 모든 포스팅은 각 진료과 의료진이 직접 작성합니다. 365서울앞선치과의원 블로그의 임상 케이스 게시물은 환자분께 의학적으로 정확하고 상세한 정보를 드리기 위해 각 진료과 의료진이 직접 작성하며, 모든 증례 사진은 본원 의료진이 직접 시술한 증례를 촬영한 것으로, 의료법 제23조, 제56조에 의거하며 환자분의 동의를 얻어 포스팅에 사용하였습니다. 또한 해당 케이스는 본 환자분의 치료 결과이며, 환자 상태에 따라 치료의 결과는 달라질 수 있습니다. |
