|
혀쪽으로 경사진 완전 매복 사랑니 발치 2025-02-28 hit.2,584 |
|
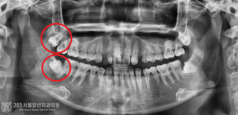
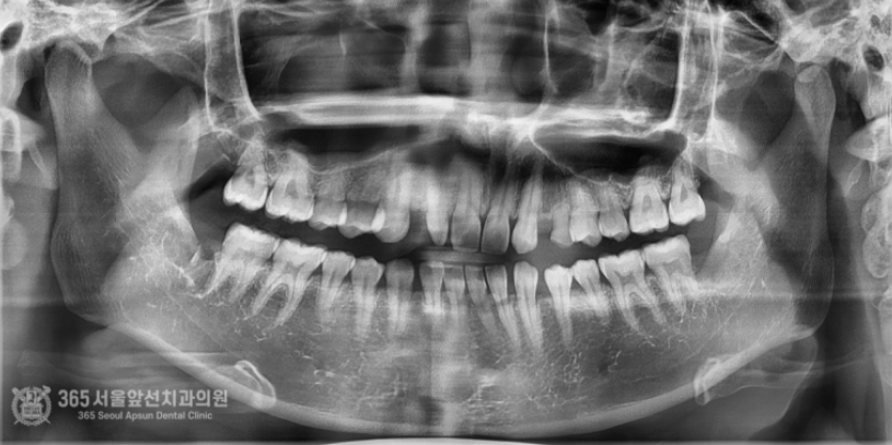
안녕하세요. 주안동치과 365서울앞선치과의원입니다. 하루에도 몇 건씩 사랑니가 불편하셔서 오시는 환자분들을 만나뵙고 있습니다. 환자분들께 치과에 대한 안좋은 기억을 여쭤보면 항상 빠지지않고 나오는 이야기가 바로 사랑니 발치인데요~ 그만큼 많은 환자분들께서 사랑니로 인해 불편감을 호소하고 계시고 발치도 많이 하고 가십니다. 하루에도 몇 건씩 발치를 하다보니 밥먹듯이 하는 진료가 되어버렸네요 ㅎㅎ 촬영일시 : 2024.06.25. 내원 당시 파노라마 엑스레이 사진 입니다. 간단한 사랑니 발치부터 완전 매복 사랑니까지 매일매일 다양한 사랑니 환자분들께서 찾아오십니다. 최근에 오셨던 환자분인신데요. 위와 아래 사랑니가 모두 매복된 형태를 보이고 있습니다. 매일매일 완전매복 사랑니 발치를 시행하고 있기에 매복 사랑니는 대수로운 문제가 아니지만 해당 환자분께서는 조금 특이한 양상이 있어서 포스팅을 하게 되었습니다. 사진 상 빨간색 동그라미 친 아래부분 사랑니의 경우 사랑니의 머리가 설측(혀쪽)으로 향하고 있는데요. 사랑니를 발치할때 기구 접근이 사랑니의 머리쪽으로 이루어져야 하므로, 사랑니 머리가 협측(볼쪽)으로 나와있는 것이 발치에 유리합니다. 즉, 해당 환자분은 사랑니발치 난이도가 꽤 높은 편 에 해당하는 특이한 형태였습니다. 촬영일시 : 2024.06.25. 내원 당시 CT 사진 : 아래쪽 사랑니가 뼈에 거의 묻혀있고 사랑니의 머리가 혀쪽으로 기울어져있는 것이 보입니다. 쉽지 않아보이네요. 촬영일시 : 2024.06.25. 여러 각도에서 CT 분석을 시행합니다. 비록 난이도가 높은 사랑니 발치에 해당했으나, 위아래 사랑니 모두 발치하는 것부터 봉합하는데 걸린 시간까지 총 12분이 걸렸고 환자분께서는 빠르고 정확한 발치에 만족하시며 귀가하셨습니다 ^^ (지혈 거즈를 물고 계셔서 비록 말씀은 못하셨으나 왼쪽 손으로 엄지척 해주셔서 뿌듯했습니다 ㅎㅎ) 촬영일시 : 2024.06.25. 안전하게 발치가 완료된 파노라마 엑스레이 사진입니다. 매일 사랑니 발치와 관련하여 다양한 환자분들을 만나뵙고 있는데요. 환자분들의 고통을 해결해드리고, 치료에 만족하시는 모습을 볼때마다 치과의사로서의 삶에 하루하루 뿌듯함을 느낍니다. 지금까지 365일 열린 가까운 서울대학교 치과병원을 지향하는 365서울앞선치과였습니다. 감사합니다. [ 치료기간: 2024년 6월25일 ] ※ 365서울앞선치과의원의 모든 포스팅은 각 진료과 의료진이 직접 작성합니다. 365서울앞선치과의원 블로그의 임상 케이스 게시물은 환자분께 의학적으로 정확하고 상세한 정보를 드리기 위해 각 진료과 의료진이 직접 작성하며, 모든 증례 사진은 본원 의료진이 직접 시술한 증례를 촬영한 것으로, 의료법 제23조, 제56조에 의거하며 환자분의 동의를 얻어 포스팅에 사용하였습니다. 또한 해당 케이스는 본 환자분의 치료 결과이며, 환자 상태에 따라 치료의 결과는 달라질 수 있습니다. |
