|
미국에서 오신 환자분의 수직골증대술 증례 2025-02-28 hit.2,462 |
|
오늘 소개해드릴 간석동치과잘하는곳 365서울앞선치과의원 증례는 치료의 난이도도 높고 환자분께서 미국에 거주하고 계셔서 잦은 내원 및 유지관리가 어려운 경우였습니다. 미국에 계실때 현지 구강외과 의사를 만나서 상담을 받으셨던 경험이 있으시고 턱에서 골조직을 떼서 이식수술을 받으셔야 한다고 진단 받으셨던터라 수술에 대한 공포심이 매우 많으셨던 분이었습니다.
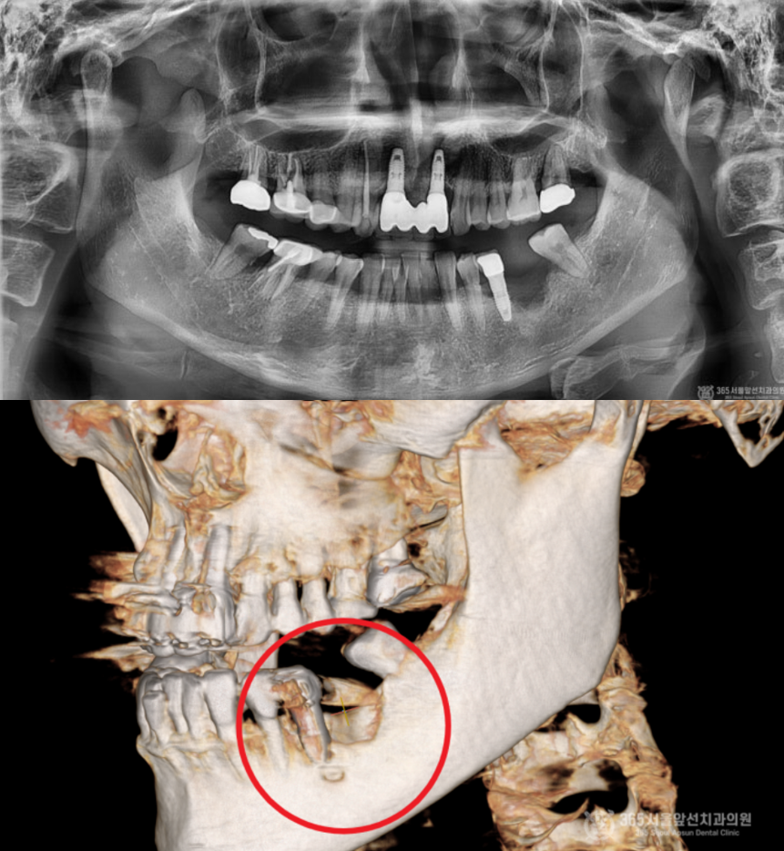
촬영일시 : 2024.05.19 X-ray 사진(위 이미지)상 오른쪽 아래(실제 입안에서는 왼쪽 아래 부위) 어금니 부위에 염증이 심하게 온 임플란트와 해당 임플란트 옆에 심한 치주염으로 발치가 된 자리가 보입니다. 또한 수술 전 CT 사진(아래 이미지) 을 찍어보니 마치 폭탄을 맞은듯하게 뼈가 웅덩이처럼 파여있는 모습이 관찰됩니다. 게다가 제거해야할 임플란트 아래쪽으로 신경이 지나가는 구멍이 있어서 수술을 할때 매우 주의해야하는 상황이었습니다. 두 자료를 를 종합해서 볼 때 뼈가 아래쪽으로 움푹 파여있어서 주변부위와 뼈의 높이를 맞춰주면서 염증에 이환된 임플란트를 제거하고 새로 식립하는 수술을 계획하였습니다.
촬영일시 : 2024.06.10 왼쪽 위아래 안좋은 치아들을 발치하고 수직골증대술과 상악동측방거상술을 동시에 진행하여 수술을 했습니다. 상당히 많은 골이식이 들어갔고 부족한 잇몸을 늘려주는 술식까지 동시에 진행되었기때문에 난이도가 높은 수술이라고 보시면 되겠습니다.
촬영일시 : 2024.09.25 수술 후 수개월이 지나서 2차 수술을 진행한 모습이며, 이식한 뼈가 매우 잘되었음을 볼 수 있습니다.
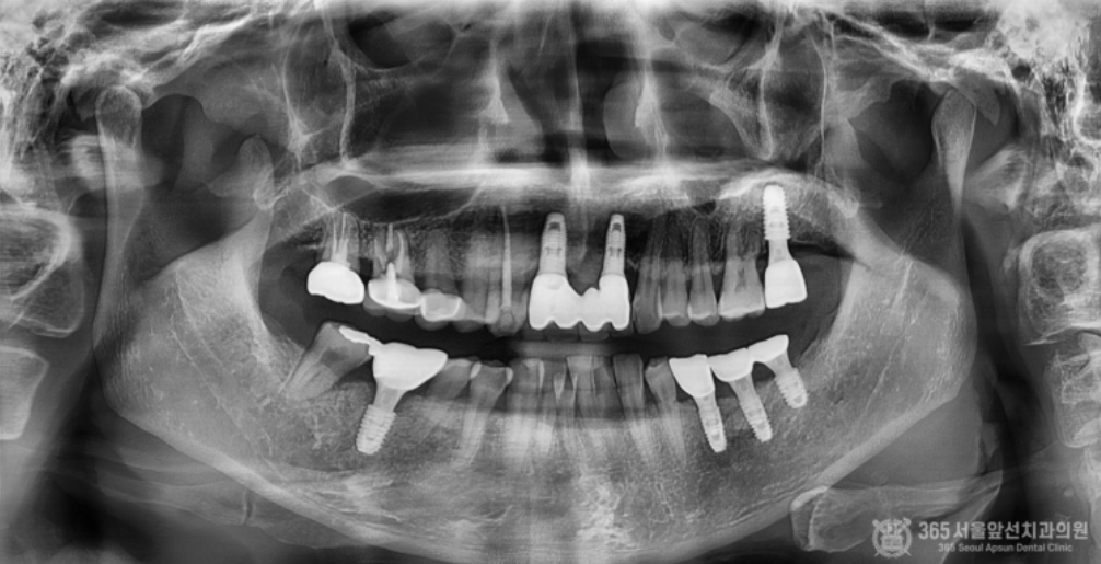
더 정확한 확인을 위해 간석동치과잘하는곳 365서울앞선치과의원에서는 작은 엑스레이를 촬영하여 검사도 시행하였는데요. 매우 잘되었네요 ㅎㅎ 만족스럽습니다 ㅎㅎ 촬영일시 : 2024.10.01 보철물을 껴드리고 체크 과정에서 엑스레이를 촬영한 사진입니다. 결과가 매우 안정적입니다ㅎㅎ 오늘은 다양한 임플란트 골이식술들 중에서 가장 난이도가 높다고 알려진 수직골증대술과 상악동측방거상술을 동시에 시행한 환자분의 임플란트 치료 케이스를 소개해드렸는데요. 저희 간석동치과잘하는곳 365서울앞선치과의원에서는 임플란트 시행 건수 1만건 이상의 경험으로 난이도가 높은 임플란트 케이스도 자신있게 치료하고 있습니다 ㅎㅎ 이렇게 미국에서도 소문을 듣고 찾아주시니 제가 몸둘바를 모르겠습니다 ㅎㅎ 앞으로도 좋은 치료로 지역사회에 보답하는 365서울앞선치과가 되겠습니다 ! 감사합니다 ! [ 치료기간:2024년 5월19일 ~2024 10월 1일 ] ※ 365서울앞선치과의원의 모든 포스팅은 각 진료과 의료진이 직접 작성합니다. 365서울앞선치과의원 블로그의 임상 케이스 게시물은 환자분께 의학적으로 정확하고 상세한 정보를 드리기 위해 각 진료과 의료진이 직접 작성하며, 모든 증례 사진은 본원 의료진이 직접 시술한 증례를 촬영한 것으로, 의료법 제23조, 제56조에 의거하며 환자분의 동의를 얻어 포스팅에 사용하였습니다. 또한 해당 케이스는 본 환자분의 치료 결과이며, 환자 상태에 따라 치료의 결과는 달라질 수 있습니다. |
