|
오래된 앞니 보철물 교체 치료 증례 2025-02-28 hit.2,528 |
|
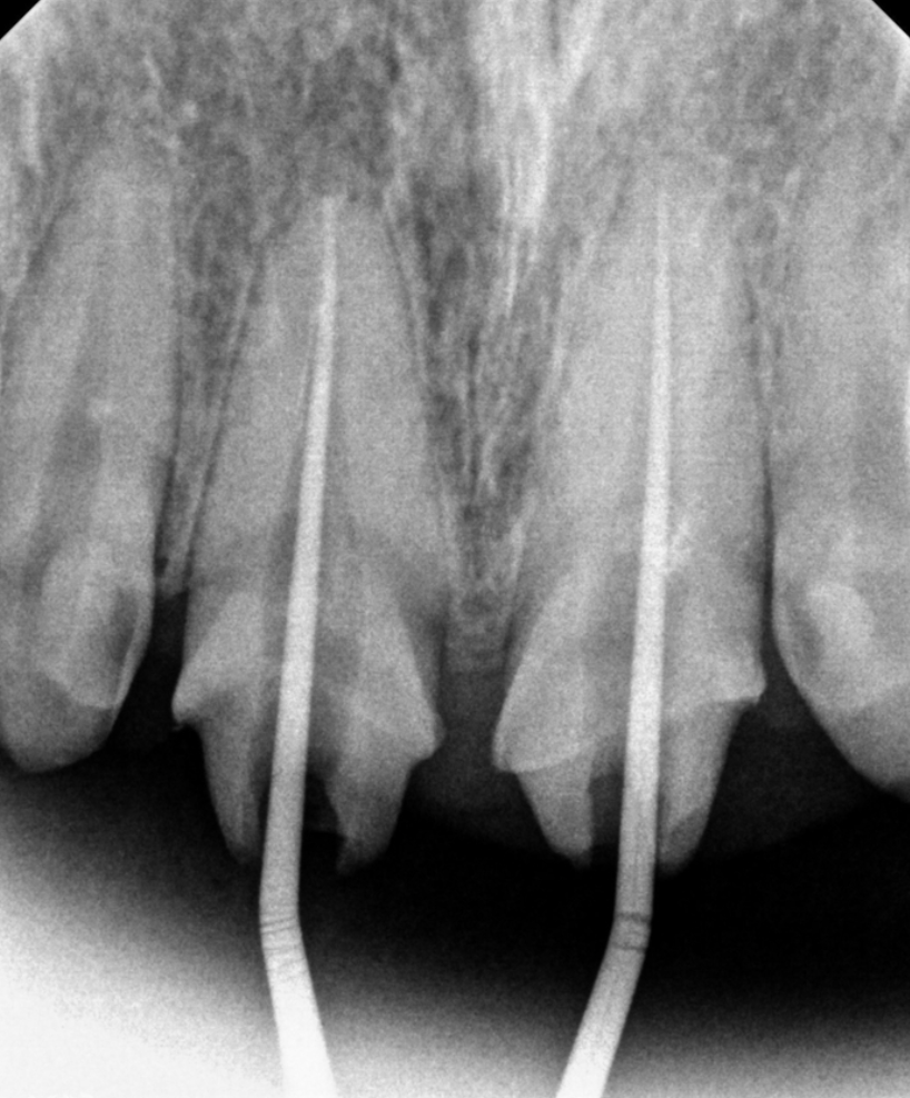
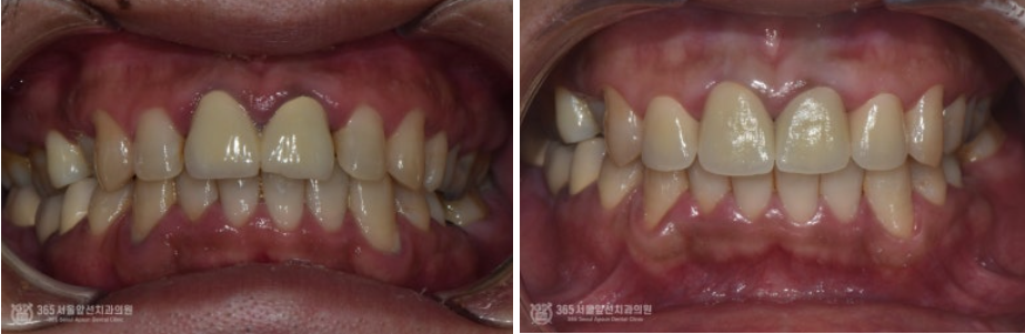
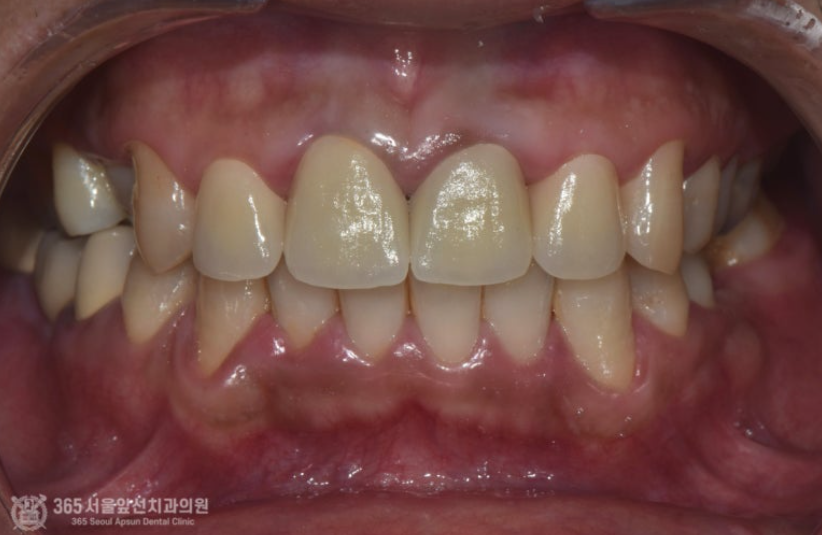
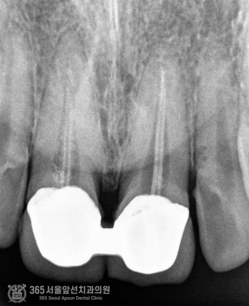
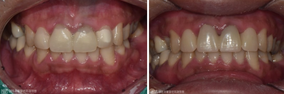
위쪽 앞니 보철물을 한지 오래됐는데, 바꾸고 싶어요. 안녕하세요. 주안역치과 365서울앞선치과 대표원장 강동우입니다. 오늘 소개해드릴 치료 증례는 앞니 보철물이 어색하다는 불편감으로 내원하신 환자분의 증례입니다~ 앞니는 치아의 기능도 중요하지만 무엇보다 심미성이 중요합니다. 쉽게 말해 앞니는 이쁜게 중요하다고 볼 수 있습니다 ㅎㅎ 촬영일시 : 2024.05.03. 처음 내원 당시 정면 모습입니다. 환자분께서 나이가 젊으셨음에도 불구하고 앞니의 보철물의 색상이 탁하고 어두워보이며 심지어 앞니 끝부분이 깨져있는것도 보입니다. 또한 PFM이라고 내부에 금속구조물을 포함한 보철물이다보니 금속 구조물이 빛의 투과를 막아 잇몸색이 탁한 색으로 보이는 우산효과(umbrella effect)도 관찰됩니다. 촬영일시 : 2024.05.03. 내원 당시 치료전 엑스레이입니다. PFM으로 제작된 앞니 보철물이 관찰되며, 치아 내부에 신경치료가 행해졌던 흔적도 보입니다. 환자분께서 증상은 따로 없으셨으나, 신경치료 상태가 불량하여 재신경치료도 진행하기로 했습니다. 촬영일시 : 2024.05.03. 재신경치료 중에 촬영한 엑스레이입니다. 정확하게 신경치료가 이루어지고있는것이 관찰됩니다. 촬영일시 : 2024.05.03. 재신경치료 후 엑스레이 사진입니다. 깔끔하게 충전된 양상이 관찰됩니다. 촬영일시 : 2024.05.03. / 2025.08.02. 이제 심미의 완성을 위한 잠정보철물(Provisional restoration)을 제작하여 환자분께서 원하는 형태를 찾아가며, 잇몸의 형태도 조절하는 과정(gingival molding)을 진행합니다. 환자분께서 심미를 중요시 여기는 분이셔서 두 번에 걸친 임시치아 제작 단계를 거쳐 최종적인 보철물을 만들었습니다. 촬영일시 : 2025.08.02. 완성된 최종보철물입니다. 깔끔하게 잘나왔습니다 어두웠던 잇몸색상도 개선되었습니다. 환자분께서도 만족하셨습니다 ㅎㅎ 촬영일시 : 2024.05.03. / 2025.08.02. 치료 전후 비교 모습입니다. 드라마틱한 변화가 관찰됩니다. 오늘은 오래된 앞니 보철물 교체에 관한 주제로 증례를 소개해드렸습니다. 앞으로도 좋은 치료로 보답하는 석바위시장치과, 365서울앞선치과가 되겠습니다 ! [ 치료기간: 2024년 5월3일 ~2025년 8월 2일 ] ※ 365서울앞선치과의원의 모든 포스팅은 각 진료과 의료진이 직접 작성합니다. 365서울앞선치과의원 블로그의 임상 케이스 게시물은 환자분께 의학적으로 정확하고 상세한 정보를 드리기 위해 각 진료과 의료진이 직접 작성하며, 모든 증례 사진은 본원 의료진이 직접 시술한 증례를 촬영한 것으로, 의료법 제23조, 제56조에 의거하며 환자분의 동의를 얻어 포스팅에 사용하였습니다. 또한 해당 케이스는 본 환자분의 치료 결과이며, 환자 상태에 따라 치료의 결과는 달라질 수 있습니다. |
