|
의식하진정법을 통한 전체 임플란트 수술 2025-02-28 hit.2,132 |
|
안녕하세요. 도화역치과 365서울앞선치과의원입니다. 오늘은 전체 임플란트가 필요한데 큰 병원에 가보라고 권유받은 분의 치료증례를 살펴보겠습니다. 잘 찾아오셨습니다~^^
촬영일시 : 24.06.12 처음 내원 당시 엑스레이 사진입니다. 치아가 많이 없으시고 특히 어금니 쪽에는 뿌리끝에 염증이 많이 잡혀있어서 치아가 많이 불편하셨던 상태입니다.
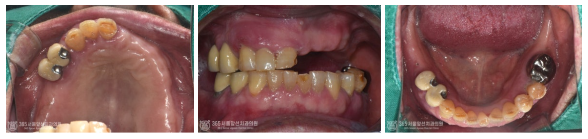
촬영일시 : 24.06.12 구강 내 모습입니다. 과거에 틀니를 사용하셨던 흔적이 관찰됩니다.
촬영일시 : 24.06.12 정밀한 검사를 위해 작은 엑스레이 사진도 촬영했습니다. 치아 뿌리 끝까지 뼈 손실이 발생되어 매우 심각한 상태임을 알 수 있습니다.
촬영일시 : 24.07.09 의식하진정법(수면치료)을 이용하여 잠자는 듯한 상태에서 수술을 진행하여 위,아래 두 번에 걸쳐 수술을 마무리 해드렸습니다. 위턱에 발치를 동반하여 7개 임플란트 식립 및 뼈이식과 양측 상악동 거상술을 포함하여 총 32분이 소요되었으며, 아래턱에 발치를 동반하여 4개 임플란트 식립 및 뼈이식에 총 15분이 소요되었습니다. 수술은 서지컬 가이드나 기타 복잡한 장비의 도움없이 진행되었습니다. 수술은 아주 잘 끝났고 환자분도 정확하고 고통없는 수술에 매우 만족하셨습니다.
촬영일시 : 24.11.14 약 4개월 후 보철까지 완성된 엑스레이 사진입니다. 오늘은 수면 임플란트 치료라고도 흔히 알려진 의식하진정법을 이용한 임플란트 수술 증례를 소개해드렸습니다 ㅎㅎ 갯수가 많은 임플란트 수술에는 수면 임플란트 치료를 이용한다면 편안한 수술이 가능합니다. 지금까지 365일 열린 서울대학교 치과병원을 지향하는 도화역치과, 365서울앞선치과 대표원장 강동우였습니다. 감사합니다. [치료기간:2024년 6월12일 ~2024년 11월 14일] ※365서울앞선치과의원의 모든 포스팅은 각 진료과 의료진이 직접 작성합니다. 365서울앞선치과의원 블로그의 임상 케이스 게시물은 환자분께 의학적으로 정확하고 상세한 정보를 드리기 위해 각 진료과 의료진이 직접 작성하며, 모든 증례 사진은 본원 의료진이 직접 시술한 증례를 촬영한 것으로, 의료법 제23조, 제56조에 의거하며 환자분의 동의를 얻어 포스팅에 사용하였습니다. 또한 해당 케이스는 본 환자분의 치료 결과이며, 환자 상태에 따라 치료의 결과는 달라질 수 있습니다. |
