|
재신경치료 증례 2025-02-28 hit.2,101 |
|
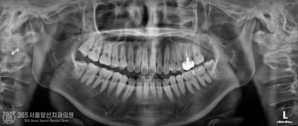
안녕하세요. 미추홀구치과 365서울앞선치과의원입니다. 오늘은 재신경치료 증례를 살펴보겠습니다. 왼쪽 위쪽의 치아가 아프다는 불편감으로 환자분께서 내원하셨습니다. 너무 아파서 잠을 제대로 못 주무셨다고 하십니다. 수면부족으로 많이 예민해지신 상태셨습니다 ㅠㅠ 구강 내를 관찰하며 검사를 시작합니다. "아~ 해보세요" 전반적으로 깨끗한 상태셨지만 기존에 치료받았던 치아가 통증의 원인으로 의심이 되는 상황입니다. 촬영일시 : 2024.06.21. 내원 당시 파노라마 엑스레인 사진입니다. 자세하고 정확한 검사를 위해 작은 엑스레이 사진을 한장 촬영했습니다. 촬영일시 : 2024.06.21. 과거 타병원에서 신경치료 및 크라운 치료를 받으신게 관찰됩니다. 과거 신경치료를 받으셨던 치아 뿌리 끝에 염증이 생겼네요 ㅠㅠ 신경치료의 충전 상태가 짧은 것도 관찰됩니다. 이런 경우, 환자분의 나이 및 건강상태 그리고 치아의 치료상태 등을 종합적으로 판단하여 치아를 보존할지 아니면 발치하고 임플란트로 계획을 세울지 결정해야합니다. 해당 치아의 경우 치아의 상태는 좋지 않았지만 기존 신경치료의 충전 상태가 그다지 좋지 않은 상황이라 재신경치료를 통해 한 번 더 치아를 살려서 써보는 것이 가능한 상황으로 보였습니다. 하지만 재신경치료의 경우 일반적인 신경치료에 비해 난이도가 높고 성공율이 떨어지는 것도 사실입니다. 그만큼 최선을 다해도 쉽지 않은 것이 재신경치료인데요~ 다행히 위 환자분께서는 성공적으로 재신경치료를 마무리할 수 있었습니다 ㅎㅎ 촬영일시 : 2024.06.21. 재신경 치료를 통해 깔끔하게 충전된 모습이 엑스레이상에서 관찰됩니다. 쉽지 않은 치료도 최선을 다하는 마음을 갖는다면 좋은 결과를 얻을 수 있다는 것을 느끼게 해준 증례였습니다. 오늘도 감사합니다 항상 최선을 다하는 치과의사가 되겠습니다 ^^ [ 치료기간: 2024년 6월21일 ] ※ 365서울앞선치과의원의 모든 포스팅은 각 진료과 의료진이 직접 작성합니다. 365서울앞선치과의원 블로그의 임상 케이스 게시물은 환자분께 의학적으로 정확하고 상세한 정보를 드리기 위해 각 진료과 의료진이 직접 작성하며, 모든 증례 사진은 본원 의료진이 직접 시술한 증례를 촬영한 것으로, 의료법 제23조, 제56조에 의거하며 환자분의 동의를 얻어 포스팅에 사용하였습니다. 또한 해당 케이스는 본 환자분의 치료 결과이며, 환자 상태에 따라 치료의 결과는 달라질 수 있습니다. |
