|
잇몸 이식을 통한 앞니 치료 증례 2025-02-28 hit.2,380 |
|
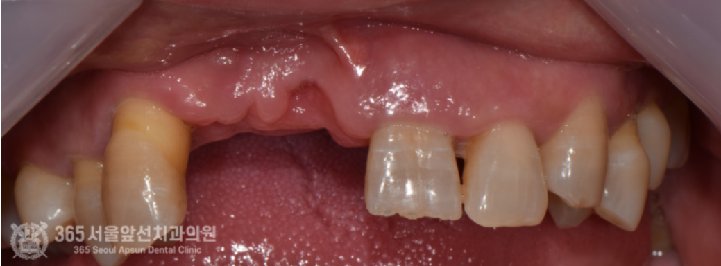
이가 망가져서 웃을 수가 없어요... 안녕하세요. 주안역치과 365서울앞선치과의원입니다. 심한 잇몸 염증으로 인해 앞니가 저절로 빠졌다고 하십니다 ㅠㅠ 많이 아프셨겠습니다.
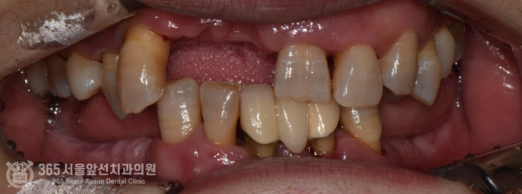
촬영일시 : 2024.08.06. 처음 내원 당시 촬영한 구강내 모습입니다. 치아가 많이 없고 남아있는 치아들 조차 상태가 좋지 않습니다. 이렇게 잇몸이 많이 부족한 경우에는, 잇몸이식을 통해 잇몸의 볼륨을 개선하고 보철물을 제작하는 것이 더 보기 좋은 보철물을 만들 수 있습니다. 촬영일시 : 2024.08.06. 오늘의 주제인 잇몸 이식을 시행했던 부위의 시행전 모습입니다. 치아가 발치되고 나면 서서히 잇몸이 줄어드는데요. 발치된지 얼마 지나지 않아서 아직은 치아가 있던 자리의 모양이 남아있는것을 보실 수 있습니다. 그러나 이 또한 시간이 흐르면 부피가 줄어들어 없어지게됩니다. 입천장에서 잇몸을 채취하여 앞니쪽에 이식을 진행했습니다.ㅎㅎ 잇몸을 입천장에서 채취해서 앞니쪽에 이식했구요~ 촬영일시 : 2024.12.01. 잇몸 이식 후 사진입니다.이식된 잇몸이 잘 생착되어가고 있습니다. 촬영일시 : 2024.12.01. 최종 보철물을 만들기 위해 임시보철물을 이용하여 잇몸 모양을 형성하고 있는 과정입니다. 잇몸이 어느 정도 안정화되면, 이후 임시보철물을 만들어서 잇몸모양을 형성해서 원하는 형태로 잡아주는 과정을 합니다. 촬영일시 : 2024.01.18. 잇몸 모양을 형성한 후, 최종적인 보철물을 제작하여 끼워드렸습니다. 촬영일시 : 2025.02.18. 아래쪽은 부분틀니를 원하셔서 부분틀니로 마무리해드렸습니다. 이번에 소개해드린 치료 증례는 잇몸 이식이라는 상당히 난이도 높은 술식을 통해 앞니의 미적 개선을 이뤄낸 증례입니다ㅎㅎ 환자분께서 매우 만족해하셔서 기쁜 마음입니다. 주안역치과 365서울앞선치과의원이었습니다. 감사합니다. [ 치료기간: 2024년 8월6일 ~ 2025년 2월 18일 ] ※ 365서울앞선치과의원의 모든 포스팅은 각 진료과 의료진이 직접 작성합니다. 365서울앞선치과의원 블로그의 임상 케이스 게시물은 환자분께 의학적으로 정확하고 상세한 정보를 드리기 위해 각 진료과 의료진이 직접 작성하며, 모든 증례 사진은 본원 의료진이 직접 시술한 증례를 촬영한 것으로, 의료법 제23조, 제56조에 의거하며 환자분의 동의를 얻어 포스팅에 사용하였습니다. 또한 해당 케이스는 본 환자분의 치료 결과이며, 환자 상태에 따라 치료의 결과는 달라질 수 있습니다. |
