|
무치악 임플란트 틀니 치료 2025-02-28 hit.2,707 |
|
안녕하세요. 주안역치과 365서울앞선치과의원입니다. 이가 없어서 도저히 식사가 불가능 하다는 환자분께서 내원하셨습니다. 치의학에서는 이런 환자분들을 무치악 환자라고 칭합니다 (말그대로 치아가 없는 환자라는 뜻입니다) 무치악 환자는, 단 하나의 치아도 남아있지 않는 완전 무치악 환자와 몇개의 치아가 남아있는 부분 무치악 환자로 나뉩니다. 상기 환자분께서는 위턱은 완전 무치악, 아래턱은 부분 무치악인 상태로 내원하셨습니다. 먼저 남아있는 치아가 쓸 수 있는지 평가를 해보았습니다. 이를 전문적인 용어로는 지대치 평가라고 부릅니다. 즉, 해당 치아를 남겨서 최종적인 치료계획에 사용할 수 있는지 없는지를 면밀히 따져보는 과정이라고 생각하시면 좋을 것 같습니다 ㅎㅎ
촬영일시 : 2024.05.01 처음 내원 당시 엑스레이 사진입니다. 보시다시피 거의 치아가 남아있지 않고 그나마 남아있는 치아들도 상태가 매우 좋지 않습니다. 아래턱에 치아가 몇개 남아있으나 흔들리고 썩어있는 상태여서 어쩔 수 없이 발치를 하기로 결정하였습니다 ㅠㅠ 이렇게 치아가 있긴 있으나 상태가 좋지 않은 경우에는 오히려 안좋은 치아를 남겨놓고 치료계획을 세울 경우 추후 문제가 되어 전체적인 치료과정에서 문제가 되는 경우가 많기에 발치를 해야할 치아는 늦지 않게 발치를 하고 보철치료나 임플란트 치료로 대체해주는 것이 중요하겠습니다. 환자분께서는 비용 상의 문제로 인해 전체 임플란트를 너무 부담이 되신다고 하셔서 임플란트는 최소한의 갯수로 식립하고 식립된 임플란트를 이용하여 틀니를 튼튼하게 사용할 수 있도록 임플란트 틀니 치료를 하기로 결정하셨습니다.
촬영일시 : 2024.05.14 임플란트가 잘 식립된 사진입니다. 추후 아래 틀니를 붙잡아줄 중요한 녀석들이죠 ㅎㅎ 이렇게 심어놓고 뼈와 임플란트가 붙을때까지 시간을 기다려줍니다.
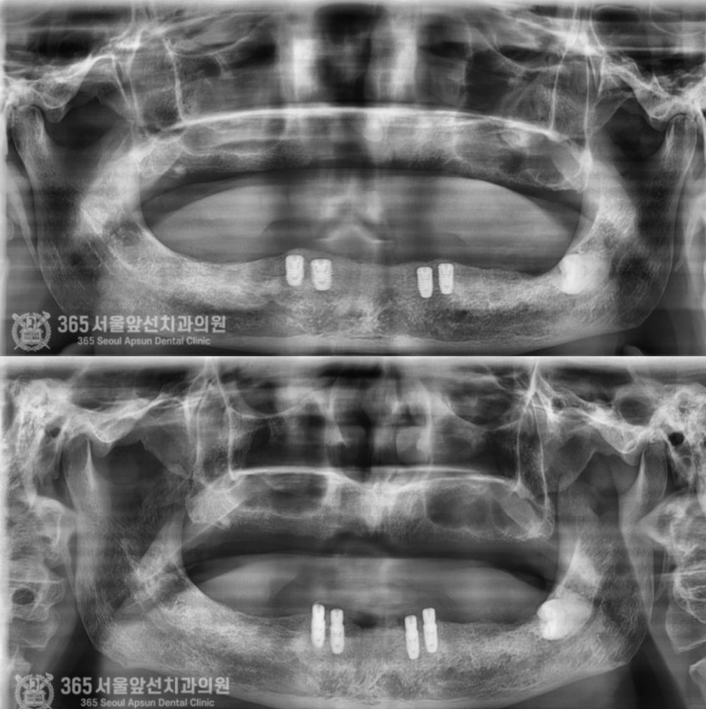
촬영일시 : 2024.06.14 기다리는 과정에서 문제가 없는지 체크도 꼼꼼히 합니다. 문제 없이 잘 진행되어 가고 있네요 좋습니다ㅎㅎ 이제 시간이 지나서 임플란트가 뼈와 단단하게 붙었다고 판단되기에 본을 뜨기 위한 단추를 달아줍니다. 전문적인 용어로는 2차 수술이라고 하는 과정입니다. (윗 부분 사진) 아랫부분 사진을 보시면 임플란트가 뼈와 단단하게 붙었구요. 이제 본을 뜨기 위해 단추를 달아줍니다ㅎㅎ 이제 거의 다와갑니다. 단추를 달아주고 본을 떠서 아래 틀니를 붙잡아줄 튼튼한 임플란트 브릿지를 먼저 만듭니다.
촬영일시 : 2024.08.09 완성된 임플란트 브릿지 엑스레이 사진입니다. 짱짱하게 생겼습니다 ㅎㅎ 이제 브릿지를 이용해서 위아래 틀니를 제작해줍니다. 이때 턱의 높이를 결정하고 턱의 위치를 잡아주는 과정을 거쳐 정확한 위치에 보철물을 제작하게 됩니다.
촬영일시 : 2024.09.12 모든 치료가 완료되었습니다ㅎㅎ 환자분께서는 편안한 식사를 하시게 되어 행복을 되찾으셨습니다. 앞으로 좋은 증례로 찾아뵙겠습니다. 지금까지 365일 열린 가까운 서울대학교 치과병원을 지향하는 주안역치과 365서울앞선치과였습니다. 감사합니다. 365서울앞선치과의원 블로그의 임상 케이스 게시물은 환자분께 의학적으로 정확하고 상세한 정보를 드리기 위해 각 진료과 의료진이 직접 작성하며, 모든 증례 사진은 본원 의료진이 직접 시술한 증례를 촬영한 것으로, 의료법 제23조, 제56조에 의거하며 환자분의 동의를 얻어 포스팅에 사용하였습니다. 또한 해당 케이스는 본 환자분의 치료 결과이며, 환자 상태에 따라 치료의 결과는 달라질 수 있습니다. |
