|
심한 치아우식증 치료 증례 2025-02-28 hit.2,287 |
|
안녕하세요. 미추홀구치과 365서울앞선치과의원입니다. 오늘 소개해드릴 치료 증례는 치아에 충치(정확한 용어는 치아우식증이라고 합니다 ㅎㅎ)가 진행되어 심한 통증으로 내원하셨던 환자분입니다ㅎㅎ 흔히 환자분들께서 충치는 아프지 않으면 괜찮은게 아닌가? 라고 생각하는 경우가 많습니다. 정답은 "그렇지 않다" 입니다. 치아우식증(충치)이 왠만큼 진행되어도 치아의 신경까지 진행되지 않았을 경우에는 어떠한 증상도 없는 경우가 대부분입니다. 다만, 증상이 없다고 해서 치아우식증이 치아 신경까지 진행될 때까지 방치하는 경우 추후 극심한 통증을 유발하게 됩니다. 상기 환자분의 경우가 그런 경우였습니다.
촬영일시 : 2024.06.01 초진 내원당시 사진입니다. 큰 어금니의 앞쪽에 까맣게 충치(치아우식증)가 진행되어 구멍이 크게 뚫린것이 관찰됩니다.
촬영일시 : 2024.06.01 엑스레이 사진에서도 임플란트 옆 치아에 심한 치아우식증이 관찰됩니다. 치아우식증이 신경까지 진행되었기 때문에 이 경우에는 신경치료가 필요하겠습니다.
촬영일시 : 2024.06.18 러버댐을 걸고 치료원칙을 지켜서 신경치료를 진행하는 중입니다. 촬영일시 : 2024.06.18 신경치료가 마무리된 엑스레이 사진입니다 ㅎㅎ 서울대학교 출신 치과보존과 전문의 원장님의 깔끔하고 정확한 신경치료로 통증도 말끔하게 사라졌습니다.
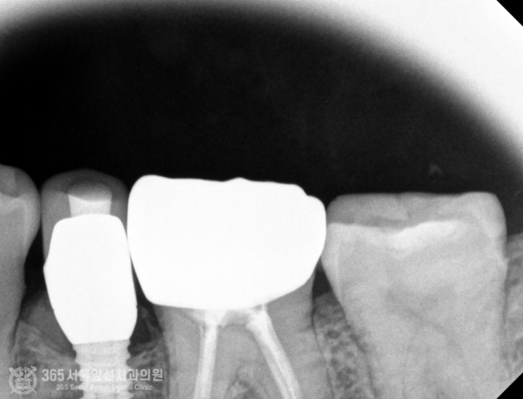
촬영일시 : 2024.07.12 신경치료가 마무리 된 후, 알맞게 크라운이 씌워진 모습의 엑스레이 사진입니다. 오늘은 치아우식증이 치아신경까지 진행되어 신경 치료 후 크라운으로 치료했던 환자분의 치료증례를 소개해드렸습니다. 앞으로도 좋은 치료로 지역 사회에 보답하는 미추홀구치과 365서울앞선치과가 되겠습니다 감사합니다 ㅎㅎ [치료기간: 2024년 6월1일 ~2024년 7월 12일] ※365서울앞선치과의원의 모든 포스팅은 각 진료과 의료진이 직접 작성합니다. 365서울앞선치과의원 블로그의 임상 케이스 게시물은 환자분께 의학적으로 정확하고 상세한 정보를 드리기 위해 각 진료과 의료진이 직접 작성하며, 모든 증례 사진은 본원 의료진이 직접 시술한 증례를 촬영한 것으로, 의료법 제23조, 제56조에 의거하며 환자분의 동의를 얻어 포스팅에 사용하였습니다. 또한 해당 케이스는 본 환자분의 치료 결과이며, 환자 상태에 따라 치료의 결과는 달라질 수 있습니다. |
