|
고름주머니 잡힌 앞니 재신경치료 2025-02-28 hit.2,563 |
|
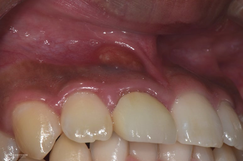
안녕하세요~ 365서울앞선치과입니다. 오른쪽 대문니에 커다란 고름주머니가 생긴 환자분께서 주안동치과추천 365서울앞선치과에 내원하셨어요. 해당 치아는 과거에 외상으로 신경치료 후 크라운을 씌워서 사용하고 계셨던 치아였는데요. 검사 소견상 재신경치료로 살려 볼 여지가 있어서 재신경치료를 주안동치과추천 365서울앞선치과에서 시행했고, 그 결과가 양호하여 증례를 소개하고자 합니다 ㅎㅎ
촬영일시 : 2024.09.13 주안동치과추천 365서울앞선치과의원 초진 내원 당시 파노라마 엑스레이 사진인데요. 사진상 오른쪽 중절치에 신경치료가 되어 있고 크라운이 씌워져있는 것이 관찰됩니다.
촬영일시 : 2024.09.13 고름이 상당히 커보입니다. 즉, 오랫동안 염증이 지속되어 치아 뿌리 끝에 커다란 고름주머니를 형성시킨 것으로 유추되는데요.
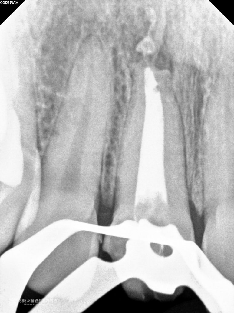
촬영일시 : 2024.09.13 정밀한 검사를 위해 작은 엑스레이 및 3차원 CT촬영을 진행 했는데요. 엑스레이 소견상으로도 뿌리 끝에 까맣게 염증주머니가 확연히 보이고, 3차원 CT 영상으로도 치아 뿌리 끝에 까맣게 염증주머니가 관찰되며, 잇몸뼈를 뚫고 입술 쪽으로 염증이 퍼져있는 모습이 보입니다.
촬영일시 : 2024.10.15 즉 이로 인해 주안동치과추천 365서울앞선치과의원에서 재신경치료를 받게 되었는데요. 재신경치료를 마치고 나서 찍은 엑스레이 사진입니다. 신경치료가 깔끔하게 완료된 모습이 관찰해 보실 수 있습니다.
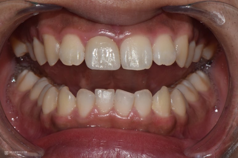
촬영일시 : 2024.10.15 또한 앞니 보철물도 새로 잘 만들어드렸습니다. 고름주머니도 소실되었고 통증도 사라졌습니다ㅎㅎ 오늘 소개해 드린 주안동치과추천 365서울앞선치과의원 치료 증례는 오래전 신경치료된 치아에 염증이 재발하여 재신경치료를 하여 치아를 살린 치료입니다. 재신경치료는 난이도가 높은 치료 술식에 해당하므로 전문가와 충분한 상의를 거친 후 치료를 받으시는 것이 중요하겠습니다 ㅎㅎ 앞으로도 좋은 치료 증례로 찾아뵙겠습니다. 감사합니다 ㅎㅎ [치료기간: 2024년 9월13일 ~2024년 10월15일] ※365서울앞선치과의원의 모든 포스팅은 각 진료과 의료진이 직접 작성합니다. 365서울앞선치과의원 블로그의 임상 케이스 게시물은 환자분께 의학적으로 정확하고 상세한 정보를 드리기 위해 각 진료과 의료진이 직접 작성하며, 모든 증례 사진은 본원 의료진이 직접 시술한 증례를 촬영한 것으로, 의료법 제23조, 제56조에 의거하며 환자분의 동의를 얻어 포스팅에 사용하였습니다. 또한 해당 케이스는 본 환자분의 치료 결과이며, 환자 상태에 따라 치료의 결과는 달라질 수 있습니다. |
