|
위 아래 전체틀니 치료 증례 2025-02-28 hit.2,608 |
|
안녕하세요 365서울앞선치과입니다. 오늘은 연세가 지긋하신 환자분 치료 증례를 소개해볼게요. 기존에 사용해오던 틀니가 마모가 심해서 식사가 불가능하다는 불편감을 호소하셨습니다. 구강내를 정밀하게 진단해봅니다.
촬영일시 : 2024.08.03 처음 내원 당시 착용하시던 틀니입니다. 한눈에 보기에도 틀니 치아가 너무 닳아서 거의 남아있지 않는 상태셨습니다. 또한 틀니가 너무 닳아서 턱의 높이가 낮아지다보니 입가에 팔자주름도 생기셨는데 이를 전문적인 용어로는 수직교합고경(vertical dimension of occlusion)이 낮다고 합니다. 새로운 틀니 제작이 시급해 보입니다.
틀니 제작의 경우, 본뜨는 과정을 2번에 걸쳐서 시행합니다. 위 사진은 예비인상이라고 하는 첫번째 본뜨기 과정을 통해 만들어진 정밀한 본뜨기용 틀이라고 보시면 되겠습니다. ㅎㅎ 이렇게 만들어진 정밀한 본뜨기용 틀을 이용해서 최종 인상이라고 하는 '2차 본뜨기'를 합니다. 이를 통해 만들어진 기록상을 이용하여 정확한 턱의 높이를 찾아 기록하여 최종적인 틀니가 완성되어 집니다.
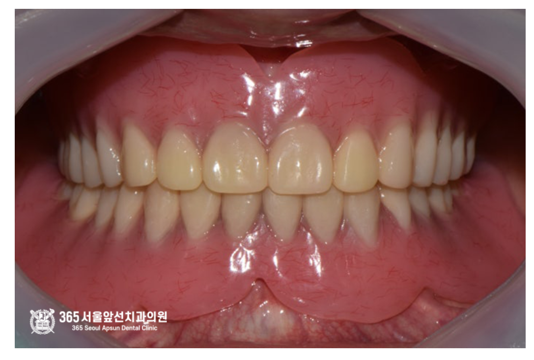
촬영일시 : 2025.09.15 새로 만들어진 최종 틀니를 껴드린 상태입니다. 확실히 치아도 길어보이고 시원시원해보이시죠? 환자분께서도 새 틀니에 매우 만족하셨습니다 ㅎㅎ 웃으실때 치아도 시원시원하게 길어보이고 한층 젊어지셨습니다.
촬영일시 : 2024.08.03 촬영일시 : 2024.09.15 좌측 사진이 기존틀니를 착용하셨을때 얼굴모습이고, 우측 사진이 새로 제작한 틀니를 착용하셨을때 모습입니다. 틀니 하나만으로도 인상이 확 바뀜을 아실 수 있습니다. ㅎㅎ 오늘은 전체 틀니를 제작해드렸었던 증례를 소개해드렸습니다 ㅎㅎ 최근에는 전체 임플란트라는 매우 좋은 치료법이 있으나, 여러가지 이유(전신질환, 비용 등)로 인해 틀니 치료를 할 수 밖에 없는 경우도 분명히 존재합니다. 저희 365서울앞선치과에서는 틀니 치료가 필요한 환자분들을 위해 매순간 최선을 다하고 있습니다ㅎㅎ 앞으로도 유익한 치료 증례로 찾아뵙겠습니다 !
[치료기간: 2024년 8월3일 ~2024년 9월 15일] ※365서울앞선치과의원의 모든 포스팅은 각 진료과 의료진이 직접 작성합니다. 365서울앞선치과의원 블로그의 임상 케이스 게시물은 환자분께 의학적으로 정확하고 상세한 정보를 드리기 위해 각 진료과 의료진이 직접 작성하며, 모든 증례 사진은 본원 의료진이 직접 시술한 증례를 촬영한 것으로, 의료법 제23조, 제56조에 의거하며 환자분의 동의를 얻어 포스팅에 사용하였습니다. 또한 해당 케이스는 본 환자분의 치료 결과이며, 환자 상태에 따라 치료의 결과는 달라질 수 있습니다. |
