|
심한 풍치를 앓던 앞니 임플란트 치료 증례 2025-02-28 hit.2,253 |
|
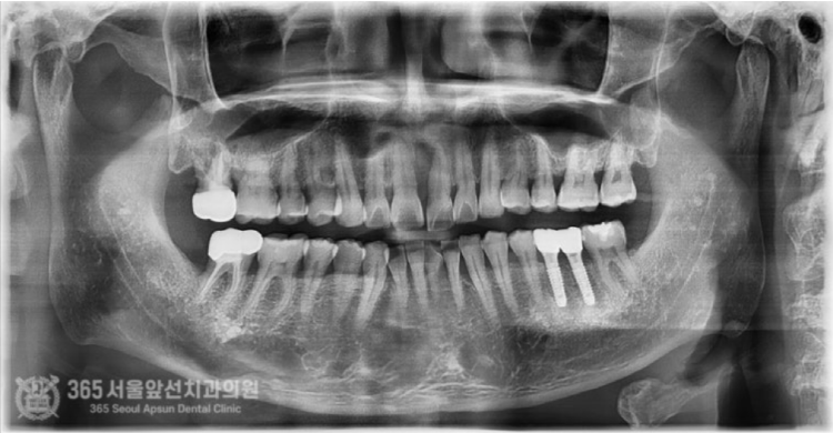
몸에서 냄새가 나고 고름이 나오다가 이제는 저절로 빠질 것 같아요... 안녕하세요. 도화역치과 365서울앞선치과의원입니다. 오늘은 심한 풍치를 앓던 앞니 임플란트 치료증례를 살펴보겠습니다. 이 환자분은 저와 특별한 사연이 있는 환자분이십니다. 바로 제가 일하던 치과의 소독실 전담 선생님의 남편분이신데요. 이렇게 가까이서 소통하던 직원분들도 가족의 치료를 믿고 맡겨주니 기대에 부응하기 위해 책임감을 막중히 느낍니다 ㅎㅎ 촬영일시 : 2024.07.02. 처음 내원당시 엑스레이 사진입니다. 왼쪽 앞니가 많이 안좋아 보입니다. 심한 풍치로 인해 잇몸뼈가 거의 다 없어졌고 치아가 저절로 빠질 정도로 흔들린다고 하셨습니다.
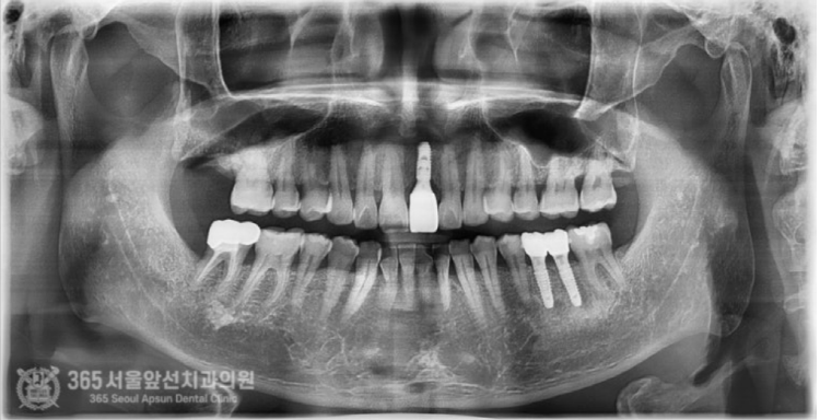
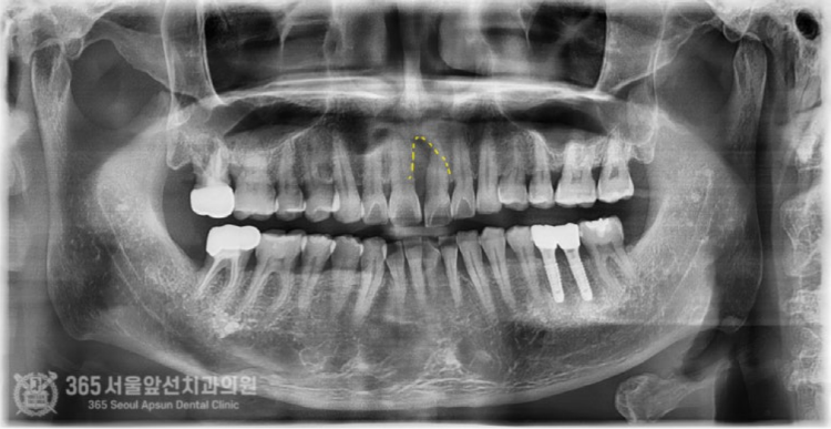
촬영일시 : 2024.07.02. 풍치로 인한 염증 부위를 색상으로 표시해보았습니다. (노란색) 3차원 CT를 이용하여 분석해보니 잇몸뼈가 염증으로 인해 녹은 상태로 매우 심각했습니다.....ㅠㅠ 촬영일시 : 2024.07.02. 결국 해당 치아는 발치를 하게 되었고, 임플란트 식립과 동시에 염증으로 인해 없어진 뼈를 재건하는 골이식을 시행하게 되었습니다. 발치를 하고 나서 임플란트 식립 및 골이식 수술 전 확인해보니 염증으로 소실된 뼈가 상당합니다. 촬영일시 : 2024.07.02. 임플란트를 식립했고 그 위로 두툼하게 골이식을 시행합니다. 일반적으로 골이식은 흡수되는 양이 상당합니다. 그래서 앞니 부위와 같이 미적으로 중요한 부위에서는 자연스러운 잇몸의 볼륨을 위해서 흡수되는 양을 감안하여 많은 양의 골이식을 시행하고있습니다. 임플란트를 식립 후에는 보통 작은 임시틀니를 드리고 그걸 사용하시는 경우가 많은데요. 지금처럼 골이식이 많이 들어간 경우에는 임시틀니를 사용할 경우 이식한 뼈가 제대로 성숙되지 못하는 경우가 많기에 다른 방식의 임시치아를 해드리고 있습니다. 위 환자분께서도 붙이는 형태의 임시치아를 해드렸고 잘사용하셨습니다. 촬영일시 : 2024.11.01. 4개월이 지나서 임플란트가 뼈와 잘 결합되었구요. 이식한 뼈도 단단해졌기에 슬슬 본 뜰 준비를 해봅니다. 동그랗게 회색 단추가 달려있는데요. 치유지대주라고 부르는 구조물로 이걸 이용하여 본을 뜨게 됩니다. 촬영일시 : 2024.11.05. 완성된 최종 보철물입니다. 사실 중간에 임플란트와 연결된 임시치아를 사용하여 잇몸 모양을 잡아주는 과정을 거쳤는데요. 아쉽게도 해당 과정에 대한 사진이 없군요 ㅠㅠ 이렇게 섬세하고 복잡한 과정을 거쳐서 임플란트 치료가 마무리 되었습니다 ㅎㅎ 이식된 뼈 부위도 통통하게 뼈가 잘되어있습니다 ㅎㅎ 만족스럽습니다. 촬영일시 : 2024.11.05. 치료가 마무리 된 후 엑스레이 사진입니다. 최종 보철물 장착 완료까지 자연스럽게 잘 마무리되어 기분이 좋네요. 직원분께서 가족의 치료를 믿고 맡겨주셨고, 그에 보답할 수 있어 기분 좋은 치료 증례였습니다. 앞으로도 더 유익한 치료 증례로 찾아뵙겠습니다. 도화역치과 365서울앞선치과의원이었습니다. 감사합니다. [ 치료기간: 2024년 7월2일 ~ 2024년 11월 5일 ] ※ 365서울앞선치과의원의 모든 포스팅은 각 진료과 의료진이 직접 작성합니다. 365서울앞선치과의원 블로그의 임상 케이스 게시물은 환자분께 의학적으로 정확하고 상세한 정보를 드리기 위해 각 진료과 의료진이 직접 작성하며, 모든 증례 사진은 본원 의료진이 직접 시술한 증례를 촬영한 것으로, 의료법 제23조, 제56조에 의거하며 환자분의 동의를 얻어 포스팅에 사용하였습니다. 또한 해당 케이스는 본 환자분의 치료 결과이며, 환자 상태에 따라 치료의 결과는 달라질 수 있습니다. |
