|
오랜 염증으로 임플란트가 실패했던 자리 재수술 증례 (수직골증강술) 2025-02-27 hit.2,077 |
|
예전에 타치과에서 임플란트 치료를 받았던 부위인데, 염증이 생겨서 제거하고 재수술 받아야 한다고 해서 왔어요.
촬영일시: 2024.05.11. 처음 내원 당시 엑스레이 사진입니다. 오래전에 타치과에서 치료 받으셨던 임플란트 부위에 염증이 생겨서 뼈가 거의 남지 않은 상황입니다. 심한 불편감을 호소하셔서 일단 임플란트를 제거하기로 하였습니다.
촬영일시: 2024.07.07. 제거하고 대략 2개월 정도 지나고 엑스레이입니다. 뼈가 움푹 파여서 이 상태로는 임플란트 식립이 어려운 상황입니다. 촬영일시: 2024.08.10. 골이식과 동시에 임플란트를 식립하였고 사진의 노란색 부위만큼이 골이식이 들어간 부위입니다. 이 환자분의 증례에서 시행된 골이식술은 수직골증강술이라는 매우 고난이도 술식입니다. 하지만 숙련된 의료진과 함께라면 걱정안하셔도 되겠습니다 ㅎㅎ 촬영일시: 2024.10.10. 약 5개월 정도 지난 후 잇몸을 열어서 이식된 골이 잘형성되었는지 확인함과 동시에 임플란트도 뼈와 잘결합되었는지 확인합니다. 다행히 뼈 형성도 좋고, 임플란트도 단단하게 잘 붙었습니다 ㅎㅎ
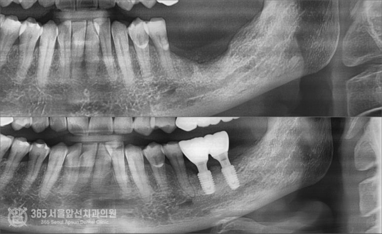
촬영일시: 2024.05.11. / 2024.10.20. 임플란트 보철물을 완성한 후 엑스레이 사진입니다. 난이도가 높은 재수술 케이스임에도 성공적으로 마무리되었습니다. 오늘은 주안역 임플란트 재수술 증례를 소개해드렸습니다. 아무리 어려운 수술이더라도 다 방법은 있기에 너무 걱정은 안하셔도 괜찮을 것 같습니다 ㅎㅎ 앞으로도 좋은 증례로 찾아뵙겠습니다. 지금까지 365일 열린 가까운 서울대학교 치과병원을 지향하는 주안역치과 365서울앞선치과였습니다. 감사합니다. ※ 365서울앞선치과의원의 모든 포스팅은 각 진료과 의료진이 직접 작성합니다. 365서울앞선치과의원 블로그의 임상 케이스 게시물은 환자분께 의학적으로 정확하고 상세한 정보를 드리기 위해 각 진료과 의료진이 직접 작성하며, 모든 증례 사진은 본원 의료진이 직접 시술한 증례를 촬영한 것으로, 의료법 제23조, 제56조에 의거하며 환자분의 동의를 얻어 포스팅에 사용하였습니다. 또한 해당 케이스는 본 환자분의 치료 결과이며, 환자 상태에 따라 치료의 결과는 달라질 수 있습니다. |
